中国 EN 400-660-9091

联系我们

电话:025-68037686

地址:江苏生命科技创新园F6幢1层

订购:nanjing03@biogot.com

服务:biorase01@biogot.com

合作:lvyun@biogot.com

支持:may@biogot.com

Cullin 1 polyclonal antibody

货号: BS78248
价格 1140
货期 现货(1-2个工作日)
25ul 50ul 100ul 200ul
No. :BS78248
Product Name :Cullin 1 polyclonal antibody
Swiss-Prot :Q13616
Host :Rabbit
Reactivity :Human, Mouse, Rat
Applications :WB, IHC
Application_all :WB,1:500 - 1:2000|IHC,1:50 - 1:200
Background :The cullin family proteins are scaffold proteins for the Ring finger type E3 ligases. Humans express seven cullin proeins: CUL1–3, CUL4A, CUL4B, CUL5, and CUL7. Each cullin protein can form an E3 ligase similar to the prototype Ring-type E3 ligase Skp1-CUL1-F-box complex. The Cullin-RING-finger type E3 ligases are important regulators in early embryonic development, as highlighted by genetic studies demonstrating that knock-out of CUL1, CUL3, or CUL4A in mice results in early embryonic lethality.
Product :1mg/ml in PBS with 0.02% sodium azide, 50% glycerol, pH7.2
Purification&Purity :The antibody was affinity-purified from rabbit antiserum by affinity-chromatography using epitope-specific immunogen and the purity is > 95% (by SDS-PAGE).
Storage&Stability :Store at 4°C short term. Aliquot and store at -20°C long term. Avoid freeze-thaw cycles.
Specificity :Unmodification
BiowMW :90KDa
Note :For research use only, not for use in diagnostic procedure.
Alternative Name :CUL1; MGC149834; MGC149835; cullin-1
Immunogen :Recombinant fusion protein of human Cullin 1(NP_003583.2).
Conjugate :Unconjugated
Modification :Unmodification
Western blot analysis of various lysates, using CUL1 antibody at 1:500 dilution.
Secondary antibody: HRP Goat Anti-Rabbit IgG at 1:10000 dilution.
Lysates/proteins: 25ug per lane.
Blocking buffer: 3% nonfat dry milk in TBST.
Detection: ECL Basic Kit .
Exposure time: 30s.
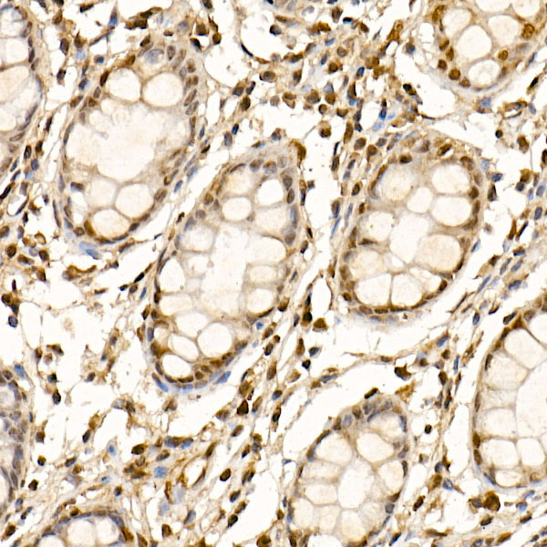
Immunohistochemistry of paraffin-embedded human colon using Cullin 1 Rabbit pAb at dilution of 1:50 .Perform high pressure antigen retrieval with 10 mM citrate buffer pH 6.0 before commencing with IHC staining protocol.
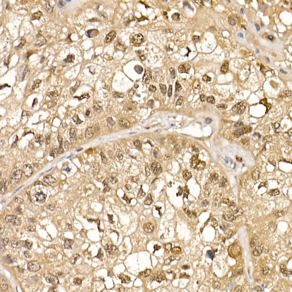
Immunohistochemistry of paraffin-embedded human lung cancer using Cullin 1 Rabbit pAb at dilution of 1:50 .Perform high pressure antigen retrieval with 10 mM citrate buffer pH 6.0 before commencing with IHC staining protocol.
Immunohistochemistry of paraffin-embedded rat lung using Cullin 1 Rabbit pAb at dilution of 1:50 .Perform high pressure antigen retrieval with 10 mM citrate buffer pH 6.0 before commencing with IHC staining protocol.

关注我们

400-660-9091

电话:025-68037686

地址:江苏生命科技创新园F6幢1层

订购:nanjing03@biogot.com

服务:biorase01@biogot.com

合作:lvyun@biogot.com

支持:may@biogot.com