中国 EN 400-660-9091

联系我们

电话:025-68037686

地址:江苏生命科技创新园F6幢1层

订购:nanjing03@biogot.com

服务:biorase01@biogot.com

合作:lvyun@biogot.com

支持:may@biogot.com

TRMT2A/HTF9C polyclonal antibody

货号: BS78169
价格 1140
货期 现货(1-2个工作日)
25ul 50ul 100ul 200ul
No. :BS78169
Product Name :TRMT2A/HTF9C polyclonal antibody
Swiss-Prot :Q8IZ69
Host :Rabbit
Reactivity :Human
Applications :WB,IHC
Application_all :WB,1:500 - 1:2000|IHC,1:50 - 1:200
Background :The protein encoded by this gene is of unknown function. However, it is orthologous to the mouse Trmt2a gene and contains an RNA methyltransferase domain. Expression of this gene varies during the cell cycle, with aberrant expression being a possible biomarker in certain breast cancers. Several transcript variants encoding two different isoforms have been found for this gene.
Product :1mg/ml in PBS with 0.02% sodium azide, 50% glycerol, pH7.2
Purification&Purity :The antibody was affinity-purified from rabbit antiserum by affinity-chromatography using epitope-specific immunogen and the purity is > 95% (by SDS-PAGE).
Storage&Stability :Store at 4°C short term. Aliquot and store at -20°C long term. Avoid freeze-thaw cycles.
Specificity :Unmodification
BiowMW :Refer to figures
Note :For research use only, not for use in diagnostic procedure.
Alternative Name :TRMT2A; HTF9C; tRNA methyltransferase 2 homolog A
Immunogen :Recombinant fusion protein of human TRMT2A/HTF9C(NP_073564.3).
Conjugate :Unconjugated
Modification :Unmodification
Western blot analysis of extracts of various cell lines, using TRMT2A/HTF9C antibody at 1:1000 dilution.
Secondary antibody: HRP Goat Anti-Rabbit IgG at 1:10000 dilution.
Lysates/proteins: 25ug per lane.
Blocking buffer: 3% nonfat dry milk in TBST.
Detection: ECL Basic Kit .
Exposure time: 90s.
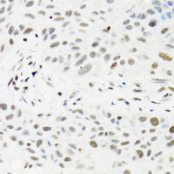
Immunohistochemistry of paraffin-embedded human lung cancer using TRMT2A/HTF9C antibody at dilution of 1:100 .Perform microwave antigen retrieval with 10 mM PBS buffer pH 7.2 before commencing with IHC staining protocol.

关注我们

400-660-9091

电话:025-68037686

地址:江苏生命科技创新园F6幢1层

订购:nanjing03@biogot.com

服务:biorase01@biogot.com

合作:lvyun@biogot.com

支持:may@biogot.com