中国 EN 400-660-9091

联系我们

电话:025-68037686

地址:江苏生命科技创新园F6幢1层

订购:nanjing03@biogot.com

服务:biorase01@biogot.com

合作:lvyun@biogot.com

支持:may@biogot.com

HSP70 polyclonal antibody

货号: BS78109
价格 1140
货期 现货(1-2个工作日)
25ul 50ul 100ul 200ul
No. :BS78109
Product Name :HSP70 polyclonal antibody
Swiss-Prot :P0DMV8
Host :Rabbit
Reactivity :Human, Mouse, Rat
Applications :WB, IHC-P, IF/ICC
Application_all :WB,1:1000 - 1:3000|IHC-P,1:50 - 1:200|IF/ICC,1:50 - 1:200
Background :This intronless gene encodes a 70kDa heat shock protein which is a member of the heat shock protein 70 family. In conjuction with other heat shock proteins, this protein stabilizes existing proteins against aggregation and mediates the folding of newly translated proteins in the cytosol and in organelles. It is also involved in the ubiquitin-proteasome pathway through interaction with the AU-rich element RNA-binding protein 1. The gene is located in the major histocompatibility complex class III region, in a cluster with two closely related genes which encode similar proteins. [provided by RefSeq, Jul 2008]
Product :1mg/ml in PBS with 0.02% sodium azide, 50% glycerol, pH7.2
Purification&Purity :The antibody was affinity-purified from rabbit antiserum by affinity-chromatography using epitope-specific immunogen and the purity is > 95% (by SDS-PAGE).
Storage&Stability :Store at 4°C short term. Aliquot and store at -20°C long term. Avoid freeze-thaw cycles.
Specificity :HSP70 polyclonal antibody detects endogenous levels of HSP70 protein.
BiowMW :70KDa
Note :For research use only, not for use in diagnostic procedure.
Alternative Name :HSPA1A; HEL-S-103; HSP70-1; HSP70-1A; HSP70.1; HSP70I; HSP72; HSPA1; HSP70
Immunogen :A synthetic peptide corresponding to a sequence within amino acids 500-600 of human HSP70/HSPA1 (NP_005336.3).
Conjugate :Unconjugated
Modification :Unmodified
Western blot analysis of various lysates using HSP70 pAb at 1:10000 dilution.
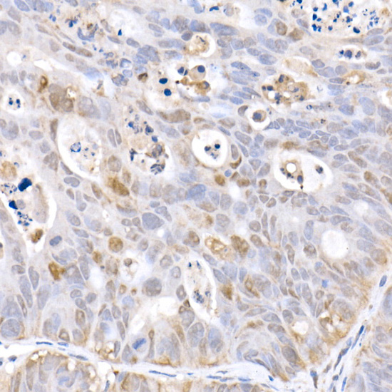
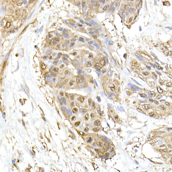
Immunohistochemistry analysis of paraffin-embedded Human colon carcinoma tissue using HSP70 pAb at a dilution of 1:100 (40x lens).
Immunofluorescence analysis of A-549 cells using HSP70 pAb at dilution of 1:100 (40x lens).

关注我们

400-660-9091

电话:025-68037686

地址:江苏生命科技创新园F6幢1层

订购:nanjing03@biogot.com

服务:biorase01@biogot.com

合作:lvyun@biogot.com

支持:may@biogot.com