中国 EN 400-660-9091

联系我们

电话:025-68037686

地址:江苏生命科技创新园F6幢1层

订购:nanjing03@biogot.com

服务:biorase01@biogot.com

合作:lvyun@biogot.com

支持:may@biogot.com

AHNAK polyclonal antibody

货号: BS78040
价格 1140
货期 现货(1-2个工作日)
25ul 50ul 100ul
No. :BS78040
Product Name :AHNAK polyclonal antibody
Swiss-Prot :Q09666
Host :Rabbit
Reactivity :Human, Mouse, Rat
Applications :IHC, IF/ICC
Application_all :IHC,1:50 - 1:200|IF/ICC,1:50 - 1:200
Background :The protein encoded by this gene is a large (700 kDa) structural scaffold protein consisting of a central domain with 128 aa repeats. The encoded protein may play a role in such diverse processes as blood-brain barrier formation, cell structure and migration, cardiac calcium channel regulation, and tumor metastasis. A much shorter variant encoding a 17 kDa isoform exists for this gene, and the shorter isoform initiates a feedback loop that regulates alternative splicing of this gene.
Product :1mg/ml in PBS with 0.02% sodium azide, 50% glycerol, pH7.2
Purification&Purity :The antibody was affinity-purified from rabbit antiserum by affinity-chromatography using epitope-specific immunogen and the purity is > 95% (by SDS-PAGE).
Storage&Stability :Store at 4°C short term. Aliquot and store at -20°C long term. Avoid freeze-thaw cycles.
Specificity :Unmodification
BiowMW :Refer to Figures
Note :For research use only, not for use in diagnostic procedure.
Alternative Name :HMOX1;HMOX1D;HO-1;HSP32;bK286B10
Immunogen :Recombinant fusion protein of human AHNAK(NP_001611.1).
Conjugate :Unconjugated
Modification :Unmodification
Immunohistochemistry of paraffin-embedded Mouse liver using AHNAK antibody at dilution of 1:50 .1.Perform high pressure antigen retrieval with 10 mM citrate buffer pH 6.0 before commencing with IHC staining protocol.
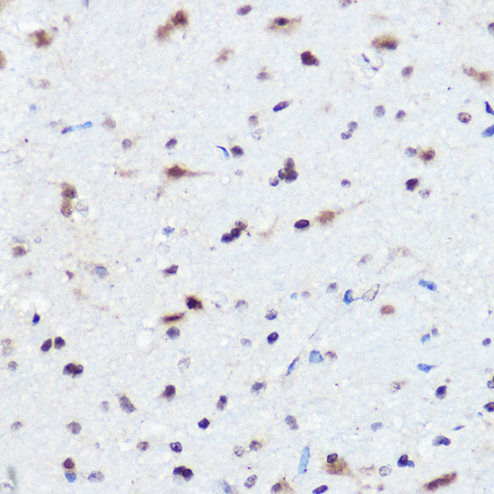
Immunohistochemistry of paraffin-embedded Mouse brain using AHNAK antibody at dilution of 1:50 .1.Perform high pressure antigen retrieval with 10 mM citrate buffer pH 6.0 before commencing with IHC staining protocol.
Immunofluorescence analysis of NIH/3T3 cells using AHNAK antibody at dilution of 1:100. Blue: DAPI for nuclear staining.
Immunofluorescence analysis of A-549 cells using AHNAK antibody at dilution of 1:100. Blue: DAPI for nuclear staining.

关注我们

400-660-9091

电话:18013895086

地址:江苏生命科技创新园F6幢1层

订购:nanjing03@biogot.com

服务:biorase01@biogot.com

合作:lvyun@biogot.com

支持:may@biogot.com