中国 EN 400-660-9091

联系我们

电话:025-68037686

地址:江苏生命科技创新园F6幢1层

订购:nanjing03@biogot.com

服务:biorase01@biogot.com

合作:lvyun@biogot.com

支持:may@biogot.com

MIER1 polyclonal antibody

货号: BS77761
价格 1140
货期 现货(1-2个工作日)
25ul 50ul 100ul 200ul
No. :BS77761
Product Name :MIER1 polyclonal antibody
Swiss-Prot :Q8N108
Host :Rabbit
Reactivity :Human, Mouse
Applications :WB, IHC
Application_all :WB,1:500 - 1:2000|IHC,1:50 - 1:200
Background :This gene encodes a protein that was first identified in Xenopus laevis by its role in a mesoderm induction early response (MIER). The encoded protein functions as a transcriptional regulator. Alternatively spliced transcript variants encode multiple isoforms, some of which lack a C-terminal nuclear localization signal.
Product :1mg/ml in PBS with 0.02% sodium azide, 50% glycerol, pH7.2
Purification&Purity :The antibody was affinity-purified from rabbit antiserum by affinity-chromatography using epitope-specific immunogen and the purity is > 95% (by SDS-PAGE).
Storage&Stability :Store at 4°C short term. Aliquot and store at -20°C long term. Avoid freeze-thaw cycles.
Specificity :Unmodification
BiowMW :58kDa
Note :For research use only, not for use in diagnostic procedure.
Alternative Name :ER1;MI-ER1;MIER1
Immunogen :Recombinant fusion protein of human MIER1(Q8N108).
Conjugate :Unconjugated
Modification :Unmodification
Western blot analysis of extracts of various cell lines, using MIER1 Rabbit pAb at 1:1000 dilution.
Secondary antibody: HRP Goat Anti-Rabbit IgG at 1:10000 dilution.
Lysates/proteins: 25ug per lane.
Blocking buffer: 3% nonfat dry milk in TBST.
Detection: ECL Basic Kit .
Exposure time: 10s.
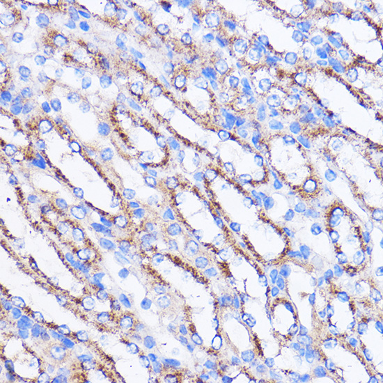
Immunohistochemistry of paraffin-embedded Mouse kidney using MIER1 Rabbit pAb at dilution of 1:100 .Perform microwave antigen retrieval with 10 mM PBS buffer pH 7.2 before commencing with IHC staining protocol.

关注我们

400-660-9091

电话:025-68037686

地址:江苏生命科技创新园F6幢1层

订购:nanjing03@biogot.com

服务:biorase01@biogot.com

合作:lvyun@biogot.com

支持:may@biogot.com