中国 EN 400-660-9091

联系我们

电话:025-68037686

地址:江苏生命科技创新园F6幢1层

订购:nanjing03@biogot.com

服务:biorase01@biogot.com

合作:lvyun@biogot.com

支持:may@biogot.com

CFAP61 polyclonal antibody

货号: BS77620
价格 1140
货期 现货(1-2个工作日)
25ul 50ul 100ul 200ul
No. :BS77620
Product Name :CFAP61 polyclonal antibody
Swiss-Prot :Q8NHU2
Host :Rabbit
Reactivity :Human, Mouse
Applications :WB, IHC, IF/ICC
Application_all :WB,1:500 - 1:2000|IHC,1:50 - 1:200|IF/ICC,1:50 - 1:200
Background :May regulate cilium motility through its role in the assembly of the axonemal radial spokes.
Product :1mg/ml in PBS with 0.02% sodium azide, 50% glycerol, pH7.2
Purification&Purity :The antibody was affinity-purified from rabbit antiserum by affinity-chromatography using epitope-specific immunogen and the purity is > 95% (by SDS-PAGE).
Storage&Stability :Store at 4°C short term. Aliquot and store at -20°C long term. Avoid freeze-thaw cycles.
Specificity :Unmodification
BiowMW :141KDa
Note :For research use only, not for use in diagnostic procedure.
Alternative Name :C20orf26;CaM-IP3;dJ1002M8.3;dJ1178H5.4;CFAP61
Immunogen :A synthetic peptide of human CFAP61(NP_056400.3).
Conjugate :Unconjugated
Modification :Unmodification
Western blot analysis of extracts of Mouse eye, using CFAP61 antibody at 1:1000 dilution.
Secondary antibody: HRP Goat Anti-Rabbit IgG at 1:10000 dilution.
Lysates/proteins: 25ug per lane.
Blocking buffer: 3% nonfat dry milk in TBST.
Detection: ECL Basic Kit .
Exposure time: 3min.
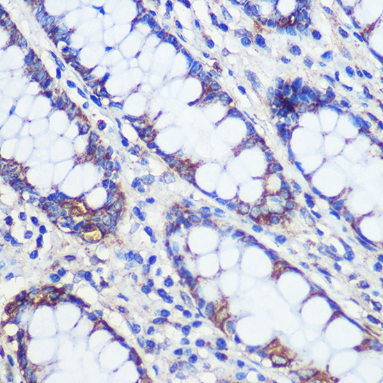
Immunohistochemistry of paraffin-embedded Human colon using CFAP61 Rabbit pAb at dilution of 1:100 .Perform microwave antigen retrieval with 10 mM PBS buffer pH 7.2 before commencing with IHC staining protocol.
Immunofluorescence analysis of Mouse testis using CFAP61 Rabbit pAb at dilution of 1:100. Blue: DAPI for nuclear staining.

关注我们

400-660-9091

电话:025-68037686

地址:江苏生命科技创新园F6幢1层

订购:nanjing03@biogot.com

服务:biorase01@biogot.com

合作:lvyun@biogot.com

支持:may@biogot.com