中国 EN 400-660-9091

联系我们

电话:025-68037686

地址:江苏生命科技创新园F6幢1层

订购:nanjing03@biogot.com

服务:biorase01@biogot.com

合作:lvyun@biogot.com

支持:may@biogot.com

TEX101 polyclonal antibody

货号: BS77592
价格 1140
货期 现货(1-2个工作日)
25ul 50ul 100ul 200ul
No. :BS77592
Product Name :TEX101 polyclonal antibody
Swiss-Prot :Q9BY14
Host :Rabbit
Reactivity :Human, Mouse, Rat
Applications :WB, IHC
Application_all :WB,1:500 - 1:2000|IHC,1:50 - 1:200
Background :Plays a role in fertilization by controlling binding of sperm to zona pellucida and migration of spermatozoa into the oviduct (By similarity. May play a role in signal transduction and promote protein tyrosine phosphorylation (By similarity.
Product :1mg/ml in PBS with 0.02% sodium azide, 50% glycerol, pH7.2
Purification&Purity :The antibody was affinity-purified from rabbit antiserum by affinity-chromatography using epitope-specific immunogen and the purity is > 95% (by SDS-PAGE).
Storage&Stability :Store at 4°C short term. Aliquot and store at -20°C long term. Avoid freeze-thaw cycles.
Specificity :Unmodification
BiowMW :27kDa
Note :For research use only, not for use in diagnostic procedure.
Alternative Name :CT131;GTPR867;NYD-SP8;PRO1884;SGRG;SPATA44;TES101RP;TEX101
Immunogen :Recombinant fusion protein of human TEX101(NP_113639.4).
Conjugate :Unconjugated
Modification :Unmodification
Western blot analysis of extracts of A-549 cells, using TEX101 Rabbit pAb at 1:1000 dilution.
Secondary antibody: HRP Goat Anti-Rabbit IgG at 1:10000 dilution.
Lysates/proteins: 25ug per lane.
Blocking buffer: 3% nonfat dry milk in TBST.
Detection: ECL Basic Kit .
Exposure time: 30s.
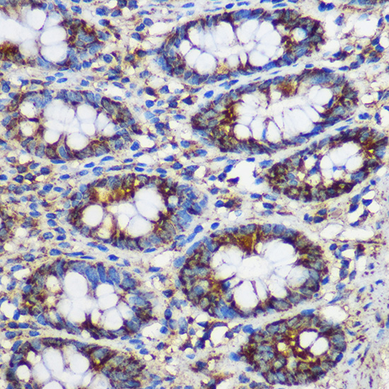
Immunohistochemistry of paraffin-embedded Human colon using TEX101 Rabbit pAb at dilution of 1:100 .Perform microwave antigen retrieval with 10 mM PBS buffer pH 7.2 before commencing with IHC staining protocol.
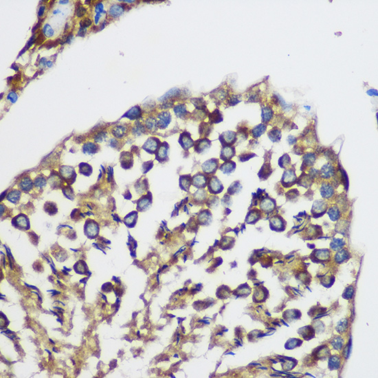
Immunohistochemistry of paraffin-embedded Rat testis using TEX101 Rabbit pAb at dilution of 1:100 .Perform microwave antigen retrieval with 10 mM PBS buffer pH 7.2 before commencing with IHC staining protocol.
Immunohistochemistry of paraffin-embedded Mouse testis using TEX101 Rabbit pAb at dilution of 1:100 .Perform microwave antigen retrieval with 10 mM PBS buffer pH 7.2 before commencing with IHC staining protocol.

关注我们

400-660-9091

电话:025-68037686

地址:江苏生命科技创新园F6幢1层

订购:nanjing03@biogot.com

服务:biorase01@biogot.com

合作:lvyun@biogot.com

支持:may@biogot.com