中国 EN 400-660-9091

联系我们

电话:025-68037686

地址:江苏生命科技创新园F6幢1层

订购:nanjing03@biogot.com

服务:biorase01@biogot.com

合作:lvyun@biogot.com

支持:may@biogot.com

LYAR polyclonal antibody

货号: BS77435
价格 1140
货期 现货(1-2个工作日)
25ul 50ul 100ul 200ul
No. :BS77435
Product Name :LYAR polyclonal antibody
Swiss-Prot :Q9NX58
Host :Rabbit
Reactivity :Human, Mouse, Rat
Applications :WB, IHC, IF/ICC
Application_all :WB,1:500 - 1:2000|IHC,1:50 - 1:200|IF/ICC,1:50 - 1:200
Background :Plays a role in the maintenance of the appropriate processing of 47S/45S pre-rRNA to 32S/30S pre-rRNAs and their subsequent processing to produce 18S and 28S rRNAs. Also acts at the level of transcription regulation. Along with PRMT5, binds the gamma-globin (HBG1/HBG2 promoter and represses its expression. In neuroblastoma cells, may also repress the expression of oxidative stress genes, including CHAC1, HMOX1, SLC7A11, ULBP1 and SNORD41 that encodes a small nucleolar RNA. Preferentially binds to a DNA motif containing 5'-GGTTAT-3'. Negatively regulates the antiviral innate immune response by targeting IRF3 and impairing its DNA-binding activity. In addition, inhibits NF-kappa-B-mediated expression of proinflammatory cytokines. Stimulates phagocytosis of photoreceptor outer segments by retinal pigment epithelial cells (By similarity. Prevents nucleolin/NCL self-cleavage, maintaining a normal steady-state level of NCL protein in undifferentiated embryonic stem cells (ESCs, which in turn is essential for ESC self-renewal (By similarity.
Product :1mg/ml in PBS with 0.02% sodium azide, 50% glycerol, pH7.2
Purification&Purity :The antibody was affinity-purified from rabbit antiserum by affinity-chromatography using epitope-specific immunogen and the purity is > 95% (by SDS-PAGE).
Storage&Stability :Store at 4°C short term. Aliquot and store at -20°C long term. Avoid freeze-thaw cycles.
Specificity :Unmodification
BiowMW :44kDa
Note :For research use only, not for use in diagnostic procedure.
Alternative Name :LYAR;ZC2HC2;ZLYAR
Immunogen :Recombinant fusion protein of human LYAR(NP_060286.1).
Conjugate :Unconjugated
Modification :Unmodification
Western blot analysis of extracts of various cell lines, using LYAR antibody at 1:1000 dilution.
Secondary antibody: HRP Goat Anti-Rabbit IgG at 1:10000 dilution.
Lysates/proteins: 25ug per lane.
Blocking buffer: 3% nonfat dry milk in TBST.
Detection: ECL Basic Kit .
Exposure time: 5s.
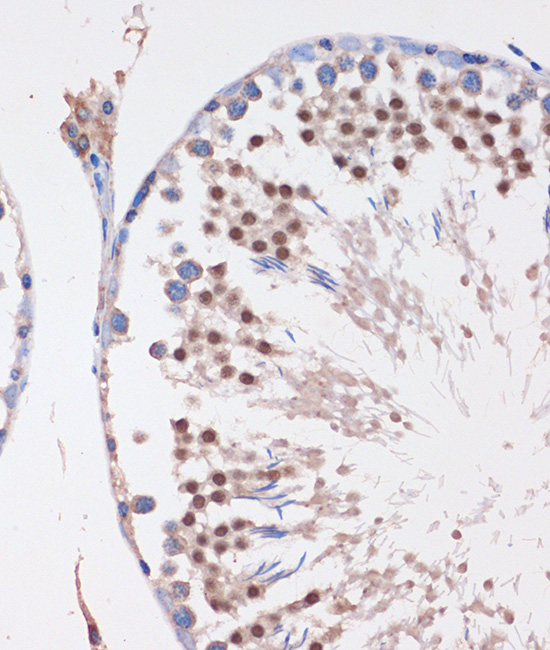
Immunohistochemistry of paraffin-embedded Rat testis using LYAR Rabbit pAb at dilution of 1:100 .Perform microwave antigen retrieval with 10 mM PBS buffer pH 7.2 before commencing with IHC staining protocol.
Immunofluorescence analysis of U2OS cells using LYAR Rabbit pAb at dilution of 1:100. Blue: DAPI for nuclear staining.
Immunofluorescence analysis of L929 cells using LYAR Rabbit pAb at dilution of 1:100. Blue: DAPI for nuclear staining.

关注我们

400-660-9091

电话:025-68037686

地址:江苏生命科技创新园F6幢1层

订购:nanjing03@biogot.com

服务:biorase01@biogot.com

合作:lvyun@biogot.com

支持:may@biogot.com