中国 EN 400-660-9091

联系我们

电话:025-68037686

地址:江苏生命科技创新园F6幢1层

订购:nanjing03@biogot.com

服务:biorase01@biogot.com

合作:lvyun@biogot.com

支持:may@biogot.com

CADPS polyclonal antibody

货号: BS77051
价格 1140
货期 现货(1-2个工作日)
25ul 50ul 100ul 200ul
No. :BS77051
Product Name :CADPS polyclonal antibody
Swiss-Prot :Q9ULU8
Host :Rabbit
Reactivity :Human
Applications :IHC
Application_all :IHC,1:50 - 1:200
Background :This gene encodes a novel neural/endocrine-specific cytosolic and peripheral membrane protein required for the Ca2+-regulated exocytosis of secretory vesicles. The protein acts at a stage in exocytosis that follows ATP-dependent priming, which involves the essential synthesis of phosphatidylinositol 4,5-bisphosphate (PtdIns(4,5)P2). Alternative splicing has been observed at this locus and three variants, encoding distinct isoforms, are described.
Product :1mg/ml in PBS with 0.02% sodium azide, 50% glycerol, pH7.2
Purification&Purity :The antibody was affinity-purified from rabbit antiserum by affinity-chromatography using epitope-specific immunogen and the purity is > 95% (by SDS-PAGE).
Storage&Stability :Store at 4°C short term. Aliquot and store at -20°C long term. Avoid freeze-thaw cycles.
Specificity :Unmodification
BiowMW :Refer to figures
Note :For research use only, not for use in diagnostic procedure.
Alternative Name :CADPS;CADPS1;CAPS;CAPS1;UNC-31
Immunogen :Recombinant fusion protein of human CADPS(NP_899630.1).
Conjugate :Unconjugated
Modification :Unmodification
Immunohistochemistry of paraffin-embedded human breast cancer using CADPS antibody at dilution of 1:100 .Perform microwave antigen retrieval with 10 mM PBS buffer pH 7.2 before commencing with IHC staining protocol.
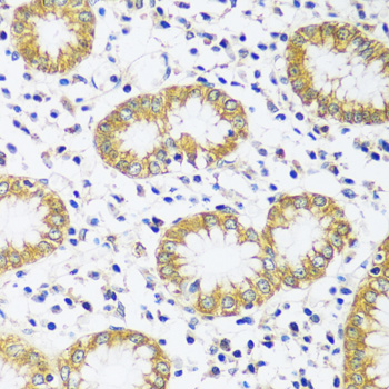
Immunohistochemistry of paraffin-embedded human stomach using CADPS antibody at dilution of 1:100 .Perform microwave antigen retrieval with 10 mM PBS buffer pH 7.2 before commencing with IHC staining protocol.

关注我们

400-660-9091

电话:025-68037686

地址:江苏生命科技创新园F6幢1层

订购:nanjing03@biogot.com

服务:biorase01@biogot.com

合作:lvyun@biogot.com

支持:may@biogot.com