中国 EN 400-660-9091

联系我们

电话:025-68037686

地址:江苏生命科技创新园F6幢1层

订购:nanjing03@biogot.com

服务:biorase01@biogot.com

合作:lvyun@biogot.com

支持:may@biogot.com

CDC25C polyclonal antibody

货号: BS76919
价格 1140
货期 现货(1-2个工作日)
25ul 50ul 100ul 200ul
No. :BS76919
Product Name :CDC25C polyclonal antibody
Swiss-Prot :P30307
Host :Rabbit
Reactivity :Human, Mouse, Rat
Applications :WB, IHC, IF/ICC
Application_all :WB,1:500 - 1:1000|IHC,1:100 - 1:200|IF/ICC,1:100 - 1:500
Background :This gene encodes a conserved protein that plays a key role in the regulation of cell division. The encoded protein directs dephosphorylation of cyclin B-bound CDC2 and triggers entry into mitosis. It also suppresses p53-induced growth arrest. Multiple alternatively spliced transcript variants of this gene have been described.
Product :Rabbit IgG, 1mg/ml in PBS with 0.02% sodium azide, 50% glycerol, pH7.3.
Purification&Purity :The antibody was affinity-purified from rabbit antiserum by affinity-chromatography using epitope-specific immunogen and the purity is > 95% (by SDS-PAGE).
Storage&Stability :Store at 4°C short term. Aliquot and store at -20°C long term. Avoid freeze-thaw cycles.
Specificity :CDC25C polyclonal antibody detects endogenous levels of CDC25C protein.
BiowMW :~ 75 kDa
Note :For research use only, not for use in diagnostic procedure.
Alternative Name :CDC25C;CDC25;PPP1R60
Immunogen :KLH-conjugated synthetic peptide encompassing a sequence within the center region of human CDC25C.
Conjugate :Unconjugated
Modification :Unmodified
Western blot analysis of CDC25C expression in rat brain (A), mouse lung (B), CT26 (C), PC12 (D), U87MG (E), Hela (F) whole cell lysates.
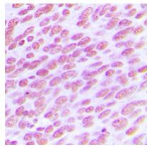
Immunohistochemical analysis of CDC25C staining in human breast cancer formalin fixed paraffin embedded tissue section.
Immunofluorescent analysis of CDC25C staining in A431 cells.

关注我们

400-660-9091

电话:025-68037686

地址:江苏生命科技创新园F6幢1层

订购:nanjing03@biogot.com

服务:biorase01@biogot.com

合作:lvyun@biogot.com

支持:may@biogot.com