中国 EN 400-660-9091

联系我们

电话:025-68037686

地址:江苏生命科技创新园F6幢1层

订购:nanjing03@biogot.com

服务:biorase01@biogot.com

合作:lvyun@biogot.com

支持:may@biogot.com

ASMT polyclonal antibody

货号: BS76742
价格 1140
货期 现货(1-2个工作日)
25ul 50ul 100ul
No. :BS76742
Product Name :ASMT polyclonal antibody
Swiss-Prot :P46597
Host :Rabbit
Reactivity :Human, Mouse
Applications :IHC
Application_all :IHC,1:50 - 1:200
Background :This gene belongs to the methyltransferase superfamily, and is located in the pseudoautosomal region (PAR) at the end of the short arms of the X and Y chromosomes. The encoded enzyme catalyzes the final reaction in the synthesis of melatonin, and is abundant in the pineal gland. Alternatively spliced transcript variants have been noted for this gene.
Product :1mg/ml in PBS with 0.02% sodium azide, 50% glycerol, pH7.2
Purification&Purity :The antibody was affinity-purified from rabbit antiserum by affinity-chromatography using epitope-specific immunogen and the purity is > 95% (by SDS-PAGE).
Storage&Stability :Store at 4°C short term. Aliquot and store at -20°C long term. Avoid freeze-thaw cycles.
Specificity :Unmodification
BiowMW :Refer to Figures
Note :For research use only, not for use in diagnostic procedure.
Alternative Name :ASMT;ASMTY;HIOMT;HIOMTY
Immunogen :Recombinant fusion protein of human ASMT(NP_001164510.1).
Conjugate :Unconjugated
Modification :Unmodification
Immunohistochemistry of paraffin-embedded rat heart using ASMT antibody at dilution of 1:100 .Perform microwave antigen retrieval with 10 mM PBS buffer pH 7.2 before commencing with IHC staining protocol.
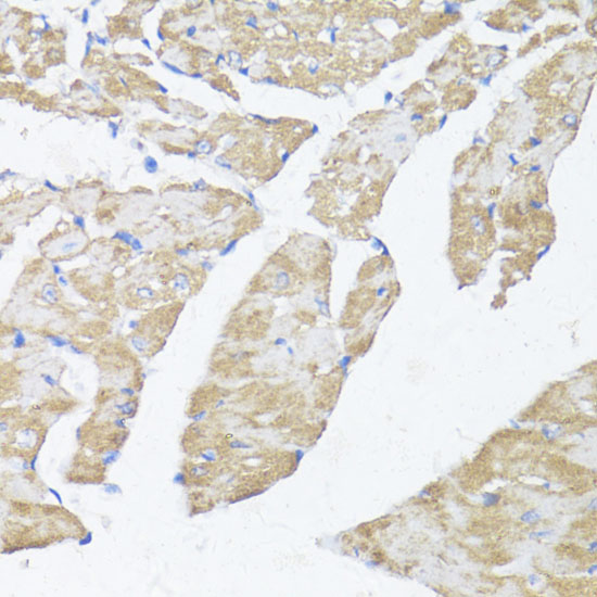
Immunohistochemistry of paraffin-embedded mouse heart using ASMT antibody at dilution of 1:100 .Perform microwave antigen retrieval with 10 mM PBS buffer pH 7.2 before commencing with IHC staining protocol.

关注我们

400-660-9091

电话:18013895086

地址:江苏生命科技创新园F6幢1层

订购:nanjing03@biogot.com

服务:biorase01@biogot.com

合作:lvyun@biogot.com

支持:may@biogot.com