中国 EN 400-660-9091

联系我们

电话:025-68037686

地址:江苏生命科技创新园F6幢1层

订购:nanjing03@biogot.com

服务:biorase01@biogot.com

合作:lvyun@biogot.com

支持:may@biogot.com

CCDC6 polyclonal antibody

货号: BS76626
价格 1140
货期 现货(1-2个工作日)
25ul 50ul 100ul 200ul
No. :BS76626
Product Name :CCDC6 polyclonal antibody
Swiss-Prot :Q16204
Host :Rabbit
Reactivity :Human, Mouse, Rat
Applications :WB, IHC, IF/ICC
Application_all :WB,1:500 - 1:2000|IHC,1:50 - 1:200|IF/ICC,1:50 - 1:200
Background :This gene encodes a coiled-coil domain-containing protein. The encoded protein is ubiquitously expressed and may function as a tumor suppressor. A chromosomal rearrangement resulting in the expression of a fusion gene containing a portion of this gene and the intracellular kinase-encoding domain of the ret proto-oncogene is the cause of thyroid papillary carcinoma.
Product :1mg/ml in PBS with 0.02% sodium azide, 50% glycerol, pH7.2
Purification&Purity :The antibody was affinity-purified from rabbit antiserum by affinity-chromatography using epitope-specific immunogen and the purity is > 95% (by SDS-PAGE).
Storage&Stability :Store at 4°C short term. Aliquot and store at -20°C long term. Avoid freeze-thaw cycles.
Specificity :Unmodification
BiowMW :56kDa
Note :For research use only, not for use in diagnostic procedure.
Alternative Name :CCDC6;D10S170;H4;PTC;TPC;TST1
Immunogen :Recombinant fusion protein of human CCDC6(NP_005427.2).
Conjugate :Unconjugated
Modification :Unmodification
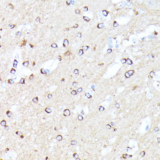
Immunohistochemistry of paraffin-embedded rat brain using CCDC6 antibody at dilution of 1:100 .Perform microwave antigen retrieval with 10 mM PBS buffer pH 7.2 before commencing with IHC staining protocol.
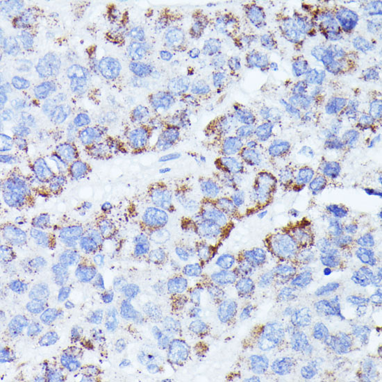
Immunohistochemistry of paraffin-embedded human liver cancer using CCDC6 antibody at dilution of 1:100 .Perform microwave antigen retrieval with 10 mM PBS buffer pH 7.2 before commencing with IHC staining protocol.
Immunohistochemistry of paraffin-embedded mouse brain using CCDC6 antibody at dilution of 1:100 .Perform microwave antigen retrieval with 10 mM PBS buffer pH 7.2 before commencing with IHC staining protocol.

关注我们

400-660-9091

电话:025-68037686

地址:江苏生命科技创新园F6幢1层

订购:nanjing03@biogot.com

服务:biorase01@biogot.com

合作:lvyun@biogot.com

支持:may@biogot.com