中国 EN 400-660-9091

联系我们

电话:025-68037686

地址:江苏生命科技创新园F6幢1层

订购:nanjing03@biogot.com

服务:biorase01@biogot.com

合作:lvyun@biogot.com

支持:may@biogot.com

PGAM5 polyclonal antibody

货号: BS76602
价格 1140
货期 现货(1-2个工作日)
25ul 50ul 100ul 200ul
No. :BS76602
Product Name :PGAM5 polyclonal antibody
Swiss-Prot :Q96HS1
Host :Rabbit
Reactivity :Human, Mouse, Rat
Applications :WB, IHC, IF/ICC
Application_all :WB,1:500 - 1:2000|IHC,1:50 - 1:200|IF/ICC,1:50 - 1:200
Background :Displays phosphatase activity for serine/threonine residues, and, dephosphorylates and activates MAP3K5 kinase. Has apparently no phosphoglycerate mutase activity. May be regulator of mitochondrial dynamics. Substrate for a KEAP1-dependent ubiquitin ligase complex. Contributes to the repression of NFE2L2-dependent gene expression. Acts as a central mediator for programmed necrosis induced by TNF, by reactive oxygen species and by calcium ionophore.
Product :1mg/ml in PBS with 0.02% sodium azide, 50% glycerol, pH7.2
Purification&Purity :The antibody was affinity-purified from rabbit antiserum by affinity-chromatography using epitope-specific immunogen and the purity is > 95% (by SDS-PAGE).
Storage&Stability :Store at 4°C short term. Aliquot and store at -20°C long term. Avoid freeze-thaw cycles.
Specificity :Unmodification
BiowMW :28KDa/30KDa
Note :For research use only, not for use in diagnostic procedure.
Alternative Name :PGAM5;BXLBV68
Immunogen :Recombinant fusion protein of human PGAM5(NP_001164014.1).
Conjugate :Unconjugated
Modification :Unmodification
Western blot analysis of various lysates, using PGAM5 antibody at 1:500 dilution.
Secondary antibody: HRP Goat Anti-Rabbit IgG at 1:10000 dilution.
Lysates/proteins: 25ug per lane.
Blocking buffer: 3% nonfat dry milk in TBST.
Detection: ECL Basic Kit .
Exposure time: 1s.
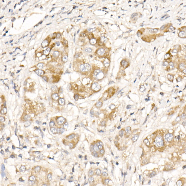
Immunohistochemistry of paraffin-embedded human colon carcinoma using PGAM5 Rabbit pAb at dilution of 1:25 .Perform high pressure antigen retrieval with 10 mM citrate buffer pH 6.0 before commencing with IHC staining protocol.
Immunohistochemistry of paraffin-embedded human liver cancer using PGAM5 Rabbit pAb at dilution of 1:25 .Perform high pressure antigen retrieval with 10 mM citrate buffer pH 6.0 before commencing with IHC staining protocol.
Immunohistochemistry of paraffin-embedded human tonsil using PGAM5 Rabbit pAb at dilution of 1:25 .Perform high pressure antigen retrieval with 10 mM citrate buffer pH 6.0 before commencing with IHC staining protocol.

关注我们

400-660-9091

电话:025-68037686

地址:江苏生命科技创新园F6幢1层

订购:nanjing03@biogot.com

服务:biorase01@biogot.com

合作:lvyun@biogot.com

支持:may@biogot.com