中国 EN 400-660-9091

联系我们

电话:025-68037686

地址:江苏生命科技创新园F6幢1层

订购:nanjing03@biogot.com

服务:biorase01@biogot.com

合作:lvyun@biogot.com

支持:may@biogot.com

PP2A-B56δ/PR61δ/PPP2R5D polyclonal antibody

货号: BS76442
价格 1140
货期 现货(1-2个工作日)
25ul 50ul 100ul 200ul
No. :BS76442
Product Name :PP2A-B56δ/PR61δ/PPP2R5D polyclonal antibody
Swiss-Prot :Q14738
Host :Rabbit
Reactivity :Human, Mouse, Rat
Applications :WB, IHC, IF/ICC
Application_all :WB,1:500 - 1:2000|IHC,1:100 - 1:200|IF/ICC,1:50 - 1:200
Background :The product of this gene belongs to the phosphatase 2A regulatory subunit B family. Protein phosphatase 2A is one of the four major Ser/Thr phosphatases, and it is implicated in the negative control of cell growth and division. It consists of a common heteromeric core enzyme, which is composed of a catalytic subunit and a constant regulatory subunit, that associates with a variety of regulatory subunits. The B regulatory subunit might modulate substrate selectivity and catalytic activity. This gene encodes a delta isoform of the regulatory subunit B56 subfamily. Alternatively spliced transcript variants encoding different isoforms have been identified.
Product :1mg/ml in PBS with 0.02% sodium azide, 50% glycerol, pH7.2
Purification&Purity :The antibody was affinity-purified from rabbit antiserum by affinity-chromatography using epitope-specific immunogen and the purity is > 95% (by SDS-PAGE).
Storage&Stability :Store at 4°C short term. Aliquot and store at -20°C long term. Avoid freeze-thaw cycles.
Specificity :Unmodification
BiowMW :80kDa
Note :For research use only, not for use in diagnostic procedure.
Alternative Name :PPP2R5D;B56D;MRD35;B56delta
Immunogen :A synthetic peptide of human PP2A-B56δ/PR61δ/PP2A-B56δ/PR61δ/PPP2R5D(NP_006236.1).
Conjugate :Unconjugated
Modification :Unmodification
Western blot analysis of extracts of various cell lines, using PP2A-B56δ/PR61δ/PP2A-B56δ/PR61δ/PPP2R5D antibody at 1:1000 dilution.
Secondary antibody: HRP Goat Anti-Rabbit IgG at 1:10000 dilution.
Lysates/proteins: 25ug per lane.
Blocking buffer: 3% nonfat dry milk in TBST.
Detection: ECL Basic Kit .
Exposure time: 90s.
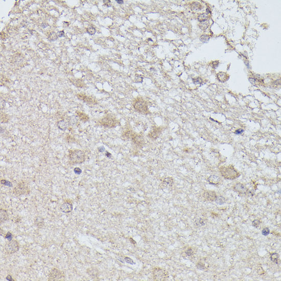
Immunohistochemistry of paraffin-embedded rat brain using PP2A-B56δ/PR61δ/PP2A-B56δ/PR61δ/PPP2R5D antibody at dilution of 1:100 .Perform microwave antigen retrieval with 10 mM PBS buffer pH 7.2 before commencing with IHC staining protocol.
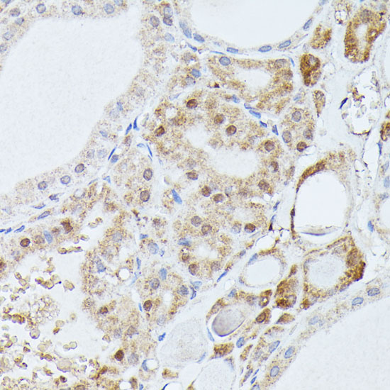
Immunohistochemistry of paraffin-embedded human thyroid cancer using PP2A-B56δ/PR61δ/PP2A-B56δ/PR61δ/PPP2R5D antibody at dilution of 1:100 .Perform microwave antigen retrieval with 10 mM PBS buffer pH 7.2 before commencing with IHC staining protocol.
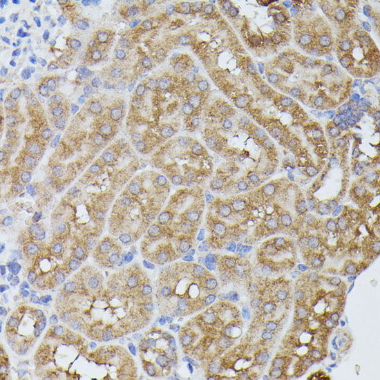
Immunohistochemistry of paraffin-embedded mouse kidney using PP2A-B56δ/PR61δ/PP2A-B56δ/PR61δ/PPP2R5D antibody at dilution of 1:100 .Perform microwave antigen retrieval with 10 mM PBS buffer pH 7.2 before commencing with IHC staining protocol.

关注我们

400-660-9091

电话:025-68037686

地址:江苏生命科技创新园F6幢1层

订购:nanjing03@biogot.com

服务:biorase01@biogot.com

合作:lvyun@biogot.com

支持:may@biogot.com