中国 EN 400-660-9091

联系我们

电话:025-68037686

地址:江苏生命科技创新园F6幢1层

订购:nanjing03@biogot.com

服务:biorase01@biogot.com

合作:lvyun@biogot.com

支持:may@biogot.com

CTNNA2 polyclonal antibody

货号: BS76213
价格 1140
货期 现货(1-2个工作日)
25ul 50ul 100ul 200ul
No. :BS76213
Product Name :CTNNA2 polyclonal antibody
Swiss-Prot :P26232
Host :Rabbit
Reactivity :Human, Mouse, Rat
Applications :WB, IHC, IF/ICC
Application_all :WB,1:200 - 1:2000|IHC,1:50 - 1:200|IF/ICC,1:50 - 1:200
Background :May function as a linker between cadherin adhesion receptors and the cytoskeleton to regulate cell-cell adhesion and differentiation in the nervous system (By similarity. Required for proper regulation of cortical neuronal migration and neurite growth. It acts as negative regulator of Arp2/3 complex activity and Arp2/3-mediated actin polymerization. It thereby suppresses excessive actin branching which would impair neurite growth and stability. Regulates morphological plasticity of synapses and cerebellar and hippocampal lamination during development. Functions in the control of startle modulation (By similarity.
Product :1mg/ml in PBS with 0.02% sodium azide, 50% glycerol, pH7.2
Purification&Purity :The antibody was affinity-purified from rabbit antiserum by affinity-chromatography using epitope-specific immunogen and the purity is > 95% (by SDS-PAGE).
Storage&Stability :Store at 4°C short term. Aliquot and store at -20°C long term. Avoid freeze-thaw cycles.
Specificity :Unmodification
BiowMW :102KDa
Note :For research use only, not for use in diagnostic procedure.
Alternative Name :CTNNA2;CAP-R;CAPR;CT114;CTNR
Immunogen :Recombinant fusion protein of human CTNNA2(NP_001269526.1).
Conjugate :Unconjugated
Modification :Unmodification
Western blot analysis of extracts of various cell lines, using CTNNA2 antibody at 1:1000 dilution.
Secondary antibody: HRP Goat Anti-Rabbit IgG at 1:10000 dilution.
Lysates/proteins: 25ug per lane.
Blocking buffer: 3% nonfat dry milk in TBST.
Detection: ECL Basic Kit .
Exposure time: 5s.
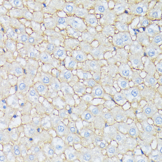
Immunohistochemistry of paraffin-embedded rat liver using CTNNA2 antibody at dilution of 1:100 .Perform microwave antigen retrieval with 10 mM PBS buffer pH 7.2 before commencing with IHC staining protocol.
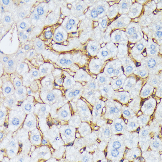
Immunohistochemistry of paraffin-embedded mouse liver using CTNNA2 antibody at dilution of 1:100 .Perform microwave antigen retrieval with 10 mM PBS buffer pH 7.2 before commencing with IHC staining protocol.
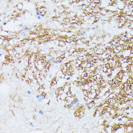
Immunohistochemistry of paraffin-embedded mouse spinal cord using CTNNA2 antibody at dilution of 1:100 .Perform microwave antigen retrieval with 10 mM PBS buffer pH 7.2 before commencing with IHC staining protocol.

关注我们

400-660-9091

电话:025-68037686

地址:江苏生命科技创新园F6幢1层

订购:nanjing03@biogot.com

服务:biorase01@biogot.com

合作:lvyun@biogot.com

支持:may@biogot.com