中国 EN 400-660-9091

联系我们

电话:025-68037686

地址:江苏生命科技创新园F6幢1层

订购:nanjing03@biogot.com

服务:biorase01@biogot.com

合作:lvyun@biogot.com

支持:may@biogot.com

Calmodulin 1/2/3 polyclonal antibody

货号: BS75913
价格 1140
货期 现货(1-2个工作日)
25ul 50ul 100ul 200ul
No. :BS75913
Product Name :Calmodulin 1/2/3 polyclonal antibody
Swiss-Prot :P0DP23/P0DP24/P0DP25
Host :Rabbit
Reactivity :Human, Mouse, Rat
Applications :IHC, IF/ICC
Application_all :IHC,1:50 - 1:200|IF/ICC,1:50 - 1:200
Background :This gene encodes a member of the EF-hand calcium-binding protein family. It is one of three genes which encode an identical calcium binding protein which is one of the four subunits of phosphorylase kinase. Two pseudogenes have been identified on chromosome 7 and X. Multiple transcript variants encoding different isoforms have been found for this gene.
Product :1mg/ml in PBS with 0.02% sodium azide, 50% glycerol, pH7.2
Purification&Purity :The antibody was affinity-purified from rabbit antiserum by affinity-chromatography using epitope-specific immunogen and the purity is > 95% (by SDS-PAGE).
Storage&Stability :Store at 4°C short term. Aliquot and store at -20°C long term. Avoid freeze-thaw cycles.
Specificity :Unmodification
BiowMW :Refer to figures
Note :For research use only, not for use in diagnostic procedure.
Alternative Name :CALM1;CALML2;CAMI;CPVT4;DD132;LQT14;PHKD;caM
Immunogen :A synthetic peptide of human Calmodulin 1/2/3(NP_008819.1).
Conjugate :Unconjugated
Modification :Unmodification
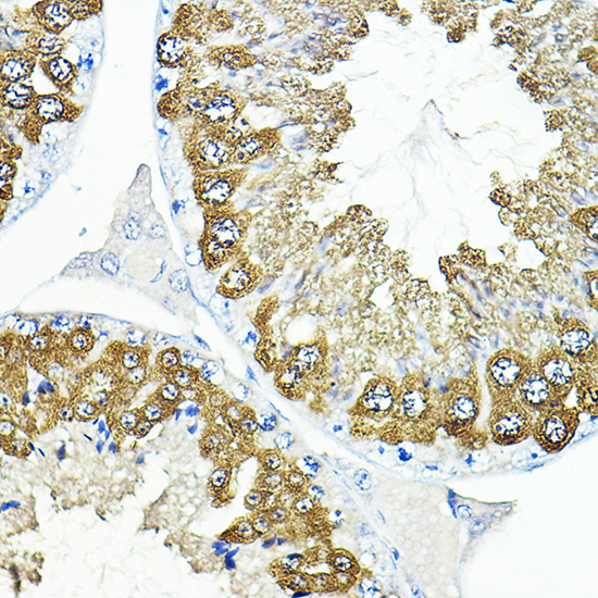
Immunohistochemistry of paraffin-embedded rat testis using Calmodulin 1/2/3 Rabbit pAb at dilution of 1:100 .Perform high pressure antigen retrieval with 10 mM citrate buffer pH 6.0 before commencing with IHC staining protocol.
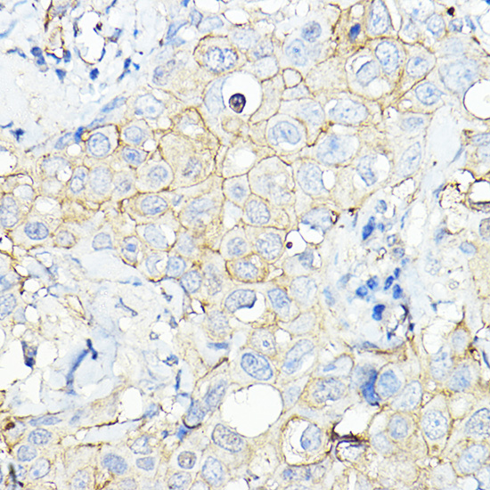
Immunohistochemistry of paraffin-embedded human breast cancer using Calmodulin 1/2/3 Rabbit pAb at dilution of 1:100 .Perform high pressure antigen retrieval with 10 mM citrate buffer pH 6.0 before commencing with IHC staining protocol.
Immunohistochemistry of paraffin-embedded mouse testis using Calmodulin 1/2/3 Rabbit pAb at dilution of 1:100 .Perform high pressure antigen retrieval with 10 mM citrate buffer pH 6.0 before commencing with IHC staining protocol.
Immunofluorescence analysis of C6 cells using Calmodulin 1/2/3 Rabbit pAb at dilution of 1:100 . Blue: DAPI for nuclear staining.

关注我们

400-660-9091

电话:025-68037686

地址:江苏生命科技创新园F6幢1层

订购:nanjing03@biogot.com

服务:biorase01@biogot.com

合作:lvyun@biogot.com

支持:may@biogot.com