中国 EN 400-660-9091

联系我们

电话:025-68037686

地址:江苏生命科技创新园F6幢1层

订购:nanjing03@biogot.com

服务:biorase01@biogot.com

合作:lvyun@biogot.com

支持:may@biogot.com

ASZ1 polyclonal antibody

货号: BS75775
价格 1140
货期 现货(1-2个工作日)
25ul 50ul 100ul 200ul
No. :BS75775
Product Name :ASZ1 polyclonal antibody
Swiss-Prot :Q8WWH4
Host :Rabbit
Reactivity :Human, Mouse, Rat
Applications :WB, IHC, IF/ICC
Application_all :WB,1:500 - 1:2000|IHC,1:50 - 1:100|IF/ICC,1:50 - 1:100
Background :ASZ1 (ankyrin repeat, SAM and basic leucine zipper domain containing 1) is a protein-coding gene. GO annotations related to this gene include signal transducer activity.
Product :1mg/ml in PBS with 0.02% sodium azide, 50% glycerol, pH7.2
Purification&Purity :The antibody was affinity-purified from rabbit antiserum by affinity-chromatography using epitope-specific immunogen and the purity is > 95% (by SDS-PAGE).
Storage&Stability :Store at 4°C short term. Aliquot and store at -20°C long term. Avoid freeze-thaw cycles.
Specificity :Unmodification
BiowMW :53kDa
Note :For research use only, not for use in diagnostic procedure.
Alternative Name :ASZ1;ALP1;ANKL1;C7orf7;CT1.19;GASZ;Orf3
Immunogen :Recombinant fusion protein of human ASZ1(NP_570124.1).
Conjugate :Unconjugated
Modification :Unmodification
Western blot analysis of extracts of various cell lines, using ASZ1 antibody at 1:1000 dilution.
Secondary antibody: HRP Goat Anti-Rabbit IgG at 1:10000 dilution.
Lysates/proteins: 25ug per lane.
Blocking buffer: 3% nonfat dry milk in TBST.
Detection: ECL Basic Kit .
Exposure time: 1s.
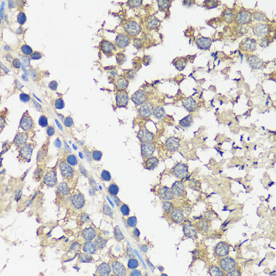
Immunohistochemistry of paraffin-embedded rat testis using ASZ1 antibody at dilution of 1:100 .Perform microwave antigen retrieval with 10 mM PBS buffer pH 7.2 before commencing with IHC staining protocol.
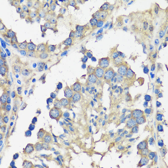
Immunohistochemistry of paraffin-embedded mouse testis using ASZ1 antibody at dilution of 1:100 .Perform microwave antigen retrieval with 10 mM PBS buffer pH 7.2 before commencing with IHC staining protocol.
Immunofluorescence analysis of rat testis cells using ASZ1 antibody at dilution of 1:100. Blue: DAPI for nuclear staining.

关注我们

400-660-9091

电话:025-68037686

地址:江苏生命科技创新园F6幢1层

订购:nanjing03@biogot.com

服务:biorase01@biogot.com

合作:lvyun@biogot.com

支持:may@biogot.com