中国 EN 400-660-9091

联系我们

电话:025-68037686

地址:江苏生命科技创新园F6幢1层

订购:nanjing03@biogot.com

服务:biorase01@biogot.com

合作:lvyun@biogot.com

支持:may@biogot.com

CAND1 polyclonal antibody

货号: BS75686
价格 1140
货期 现货(1-2个工作日)
25ul 50ul 100ul 200ul
No. :BS75686
Product Name :CAND1 polyclonal antibody
Swiss-Prot :Q86VP6
Host :Rabbit
Reactivity :Human, Mouse, Rat
Applications :WB, IHC
Application_all :WB,1:500 - 1:2000|IHC,1:50 - 1:100
Background :This gene encodes an essential regulator of Cullin-RING ubiquitin ligases, which are in involved in ubiquitinylation of proteins degraded by the Ub proteasome system. The encoded protein binds to unneddylated cullin-RING box protein complexes and acts as an inhibitor of cullin neddylation and of Skp1, cullin, and F box ubiquitin ligase complex assembly and activity. In mammalian cell culture, this protein predominantly localizes to the cytoplasm. Knockdown of this gene in preadipocytes results in blocked adipogenesis. Alternative splicing results in multiple transcript variants.
Product :1mg/ml in PBS with 0.02% sodium azide, 50% glycerol, pH7.2
Purification&Purity :The antibody was affinity-purified from rabbit antiserum by affinity-chromatography using epitope-specific immunogen and the purity is > 95% (by SDS-PAGE).
Storage&Stability :Store at 4°C short term. Aliquot and store at -20°C long term. Avoid freeze-thaw cycles.
Specificity :Unmodification
BiowMW :136kDa
Note :For research use only, not for use in diagnostic procedure.
Alternative Name :CAND1;TIP120;TIP120A
Immunogen :Recombinant fusion protein of human CAND1(NP_060918.2).
Conjugate :Unconjugated
Modification :Unmodification
Western blot analysis of extracts of various cell lines, using CAND1 antibody at 1:1000 dilution.
Secondary antibody: HRP Goat Anti-Rabbit IgG at 1:10000 dilution.
Lysates/proteins: 25ug per lane.
Blocking buffer: 3% nonfat dry milk in TBST.
Detection: ECL Basic Kit .
Exposure time: 15s.
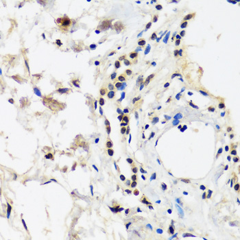
Immunohistochemistry of paraffin-embedded human lung using CAND1 antibody at dilution of 1:100 .Perform microwave antigen retrieval with 10 mM PBS buffer pH 7.2 before commencing with IHC staining protocol.
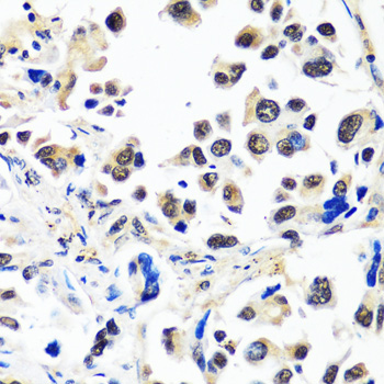
Immunohistochemistry of paraffin-embedded human lung cancer using CAND1 antibody at dilution of 1:100 .Perform microwave antigen retrieval with 10 mM PBS buffer pH 7.2 before commencing with IHC staining protocol.
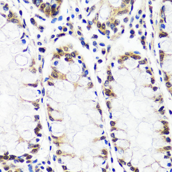
Immunohistochemistry of paraffin-embedded human colon using CAND1 antibody at dilution of 1:100 .Perform microwave antigen retrieval with 10 mM PBS buffer pH 7.2 before commencing with IHC staining protocol.

关注我们

400-660-9091

电话:025-68037686

地址:江苏生命科技创新园F6幢1层

订购:nanjing03@biogot.com

服务:biorase01@biogot.com

合作:lvyun@biogot.com

支持:may@biogot.com