中国 EN 400-660-9091

联系我们

电话:025-68037686

地址:江苏生命科技创新园F6幢1层

订购:nanjing03@biogot.com

服务:biorase01@biogot.com

合作:lvyun@biogot.com

支持:may@biogot.com

CASR polyclonal antibody

货号: BS75673
价格 1140
货期 现货(1-2个工作日)
25ul 50ul 100ul 200ul
No. :BS75673
Product Name :CASR polyclonal antibody
Swiss-Prot :P41180
Host :Rabbit
Reactivity :Human, Mouse, Rat
Applications :WB, IHC
Application_all :WB,1:500 - 1:2000|IHC,1:50 - 1:200
Background :The protein encoded by this gene is a G protein-coupled receptor that is expressed in the parathyroid hormone (PTH)-producing chief cells of the parathyroid gland, and the cells lining the kidney tubule. It senses small changes in circulating calcium concentration and couples this information to intracellular signaling pathways that modify PTH secretion or renal cation handling, thus this protein plays an essential role in maintaining mineral ion homeostasis. Mutations in this gene cause familial hypocalciuric hypercalcemia, familial, isolated hypoparathyroidism, and neonatal severe primary hyperparathyroidism.
Product :1mg/ml in PBS with 0.02% sodium azide, 50% glycerol, pH7.2
Purification&Purity :The antibody was affinity-purified from rabbit antiserum by affinity-chromatography using epitope-specific immunogen and the purity is > 95% (by SDS-PAGE).
Storage&Stability :Store at 4°C short term. Aliquot and store at -20°C long term. Avoid freeze-thaw cycles.
Specificity :Unmodification
BiowMW :130-260KDa
Note :For research use only, not for use in diagnostic procedure.
Alternative Name :CASR;CAR;EIG8;FHH;FIH;GPRC2A;HHC;HHC1;HYPOC1;NSHPT;PCAR1;hCasR
Immunogen :Recombinant fusion protein of human CASR(NP_000379.3).
Conjugate :Unconjugated
Modification :Unmodification
Western blot analysis of extracts of various cell lines, using CASR antibody at 1:1000 dilution.
Secondary antibody: HRP Goat Anti-Rabbit IgG at 1:10000 dilution.
Lysates/proteins: 25ug per lane.
Blocking buffer: 3% nonfat dry milk in TBST.
Detection: ECL Enhanced Kit .
Exposure time: 180s.
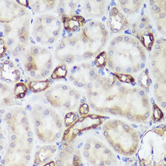
Immunohistochemistry of paraffin-embedded mouse kidney using CASR antibody at dilution of 1:50 .Perform high pressure antigen retrieval with 10 mM citrate buffer pH 6.0 before commencing with IHC staining protocol.
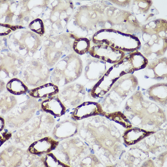
Immunohistochemistry of paraffin-embedded rat kidney using CASR antibody at dilution of 1:50 .Perform high pressure antigen retrieval with 10 mM citrate buffer pH 6.0 before commencing with IHC staining protocol.

关注我们

400-660-9091

电话:025-68037686

地址:江苏生命科技创新园F6幢1层

订购:nanjing03@biogot.com

服务:biorase01@biogot.com

合作:lvyun@biogot.com

支持:may@biogot.com