中国 EN 400-660-9091

联系我们

电话:025-68037686

地址:江苏生命科技创新园F6幢1层

订购:nanjing03@biogot.com

服务:biorase01@biogot.com

合作:lvyun@biogot.com

支持:may@biogot.com

OPRK1 polyclonal antibody

货号: BS75566
价格 1140
货期 现货(1-2个工作日)
25ul 50ul 100ul 200ul
No. :BS75566
Product Name :OPRK1 polyclonal antibody
Swiss-Prot :P41145
Host :Rabbit
Reactivity :Human, Mouse, Rat
Applications :WB, IHC, IF/ICC
Application_all :WB,1:500 - 1:2000|IHC,1:50 - 1:200|IF/ICC,1:50 - 1:200
Background :This gene encodes an opioid receptor, which is a member of the 7 transmembrane-spanning G protein-coupled receptor family. It functions as a receptor for endogenous ligands, as well as a receptor for various synthetic opioids. Ligand binding results in inhibition of adenylate cyclase activity and neurotransmitter release. This opioid receptor plays a role in the perception of pain and mediating the hypolocomotor, analgesic and aversive actions of synthetic opioids. Variations in this gene have also been associated with alcohol dependence and opiate addiction. Alternatively spliced transcript variants encoding different isoforms have been found for this gene. A recent study provided evidence for translational readthrough in this gene and expression of an additional C-terminally extended isoform via the use of an alternative in-frame translation termination codon.
Product :1mg/ml in PBS with 0.02% sodium azide, 50% glycerol, pH7.2
Purification&Purity :The antibody was affinity-purified from rabbit antiserum by affinity-chromatography using epitope-specific immunogen and the purity is > 95% (by SDS-PAGE).
Storage&Stability :Store at 4°C short term. Aliquot and store at -20°C long term. Avoid freeze-thaw cycles.
Specificity :Unmodification
BiowMW :43KDa
Note :For research use only, not for use in diagnostic procedure.
Alternative Name :OPRK1;K-OR-1;KOR;KOR-1;OPRK
Immunogen :A synthetic peptide of human OPRK1(NP_000903.2).
Conjugate :Unconjugated
Modification :Unmodification
Western blot analysis of various lysates, using OPRK1 antibody at 1:1000 dilution.
Secondary antibody: HRP Goat Anti-Rabbit IgG at 1:10000 dilution.
Lysates/proteins: 25ug per lane.
Blocking buffer: 3% nonfat dry milk in TBST.
Detection: ECL Basic Kit .
Exposure time: 180s.
Western blot analysis of Rat brain, using OPRK1 antibody at 1:1000 dilution.
Secondary antibody: HRP Goat Anti-Rabbit IgG at 1:10000 dilution.
Lysates/proteins: 25ug per lane.
Blocking buffer: 3% nonfat dry milk in TBST.
Detection: ECL Basic Kit .
Exposure time: 180s.
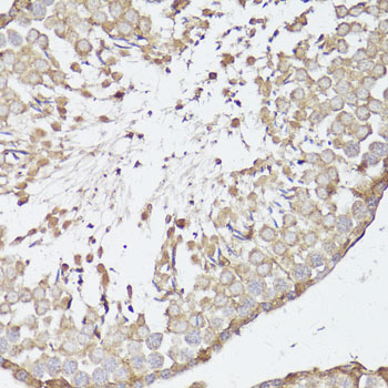
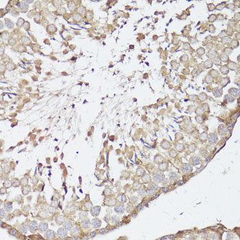
Immunohistochemistry of paraffin-embedded rat testis using OPRK1 antibody at dilution of 1:100 .Perform microwave antigen retrieval with 10 mM PBS buffer pH 7.2 before commencing with IHC staining protocol.
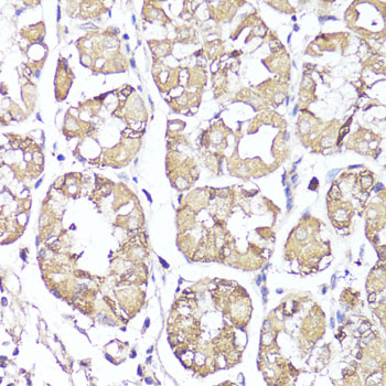
Immunohistochemistry of paraffin-embedded human stomach using OPRK1 antibody at dilution of 1:100 .Perform microwave antigen retrieval with 10 mM PBS buffer pH 7.2 before commencing with IHC staining protocol.

关注我们

400-660-9091

电话:025-68037686

地址:江苏生命科技创新园F6幢1层

订购:nanjing03@biogot.com

服务:biorase01@biogot.com

合作:lvyun@biogot.com

支持:may@biogot.com