中国 EN 400-660-9091

联系我们

电话:025-68037686

地址:江苏生命科技创新园F6幢1层

订购:nanjing03@biogot.com

服务:biorase01@biogot.com

合作:lvyun@biogot.com

支持:may@biogot.com

SSRP1 polyclonal antibody

货号: BS75394
价格 1140
货期 现货(1-2个工作日)
25ul 50ul 100ul 200ul
No. :BS75394
Product Name :SSRP1 polyclonal antibody
Swiss-Prot :Q08945
Host :Rabbit
Reactivity :Human
Applications :WB, IHC, IF/ICC
Application_all :WB,1:500 - 1:2000|IHC,1:50 - 1:200|IF/ICC,1:50 - 1:200
Background :The protein encoded by this gene is a subunit of a heterodimer that, along with SUPT16H, forms chromatin transcriptional elongation factor FACT. FACT interacts specifically with histones H2A/H2B to effect nucleosome disassembly and transcription elongation. FACT and cisplatin-damaged DNA may be crucial to the anticancer mechanism of cisplatin. This encoded protein contains a high mobility group box which most likely constitutes the structure recognition element for cisplatin-modified DNA. This protein also functions as a co-activator of the transcriptional activator p63. An alternatively spliced transcript variant of this gene has been described, but its full-length nature is not known.
Product :1mg/ml in PBS with 0.02% sodium azide, 50% glycerol, pH7.2
Purification&Purity :The antibody was affinity-purified from rabbit antiserum by affinity-chromatography using epitope-specific immunogen and the purity is > 95% (by SDS-PAGE).
Storage&Stability :Store at 4°C short term. Aliquot and store at -20°C long term. Avoid freeze-thaw cycles.
Specificity :Unmodification
BiowMW :81KDa
Note :For research use only, not for use in diagnostic procedure.
Alternative Name :SSRP1;FACT;FACT80;T160
Immunogen :Recombinant fusion protein of human SSRP1(NP_003137.1).
Conjugate :Unconjugated
Modification :Unmodification
Western blot analysis of extracts of various cell lines, using SSRP1 antibody at 1:400 dilution.
Secondary antibody: HRP Goat Anti-Rabbit IgG at 1:10000 dilution.
Lysates/proteins: 25ug per lane.
Blocking buffer: 3% nonfat dry milk in TBST.
Detection: ECL Basic Kit .
Exposure time: 90s.
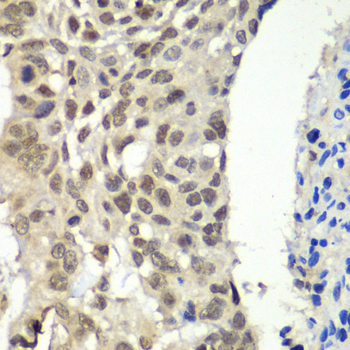
Immunohistochemistry of paraffin-embedded human esophageal cancer using SSRP1 antibody at dilution of 1:100 .Perform microwave antigen retrieval with 10 mM PBS buffer pH 7.2 before commencing with IHC staining protocol.
Immunofluorescence analysis of HeLa cells using SSRP1 antibody .

关注我们

400-660-9091

电话:025-68037686

地址:江苏生命科技创新园F6幢1层

订购:nanjing03@biogot.com

服务:biorase01@biogot.com

合作:lvyun@biogot.com

支持:may@biogot.com