中国 EN 400-660-9091

联系我们

电话:025-68037686

地址:江苏生命科技创新园F6幢1层

订购:nanjing03@biogot.com

服务:biorase01@biogot.com

合作:lvyun@biogot.com

支持:may@biogot.com

PICK1 polyclonal antibody

货号: BS75378
价格 1140
货期 现货(1-2个工作日)
25ul 50ul 100ul
No. :BS75378
Product Name :PICK1 polyclonal antibody
Swiss-Prot :Q9NRD5
Host :Rabbit
Reactivity :Human
Applications :IHC
Application_all :IHC,1:50 - 1:200
Background :The protein encoded by this gene contains a PDZ domain, through which it interacts with protein kinase C, alpha (PRKCA). This protein may function as an adaptor that binds to and organizes the subcellular localization of a variety of membrane proteins. It has been shown to interact with multiple glutamate receptor subtypes, monoamine plasma membrane transporters, as well as non-voltage gated sodium channels, and may target PRKCA to these membrane proteins and thus regulate their distribution and function. This protein has also been found to act as an anchoring protein that specifically targets PRKCA to mitochondria in a ligand-specific manner. Three transcript variants encoding the same protein have been found for this gene.
Product :1mg/ml in PBS with 0.02% sodium azide, 50% glycerol, pH7.2
Purification&Purity :The antibody was affinity-purified from rabbit antiserum by affinity-chromatography using epitope-specific immunogen and the purity is > 95% (by SDS-PAGE).
Storage&Stability :Store at 4°C short term. Aliquot and store at -20°C long term. Avoid freeze-thaw cycles.
Specificity :Unmodification
BiowMW :Refer to Figures
Note :For research use only, not for use in diagnostic procedure.
Alternative Name :PICK1;PICK;PRKCABP
Immunogen :A synthetic peptide of human PICK1(NP_036539.1).
Conjugate :Unconjugated
Modification :Unmodification
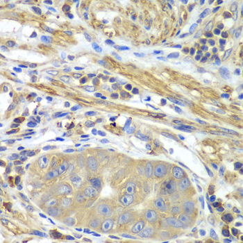
Immunohistochemistry of paraffin-embedded human colon using PICK1 antibody at dilution of 1:100 .Perform microwave antigen retrieval with 10 mM PBS buffer pH 7.2 before commencing with IHC staining protocol.
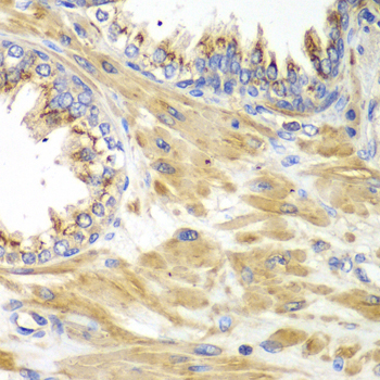
Immunohistochemistry of paraffin-embedded human prostate using PICK1 antibody at dilution of 1:100 .Perform microwave antigen retrieval with 10 mM PBS buffer pH 7.2 before commencing with IHC staining protocol.
Immunohistochemistry of paraffin-embedded human prostate cancer using PICK1 antibody at dilution of 1:100 .Perform microwave antigen retrieval with 10 mM PBS buffer pH 7.2 before commencing with IHC staining protocol.
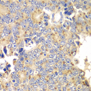
Immunohistochemistry of paraffin-embedded human gastric cancer using PICK1 antibody at dilution of 1:100 .Perform microwave antigen retrieval with 10 mM PBS buffer pH 7.2 before commencing with IHC staining protocol.

关注我们

400-660-9091

电话:18013895086

地址:江苏生命科技创新园F6幢1层

订购:nanjing03@biogot.com

服务:biorase01@biogot.com

合作:lvyun@biogot.com

支持:may@biogot.com