中国 EN 400-660-9091

联系我们

电话:025-68037686

地址:江苏生命科技创新园F6幢1层

订购:nanjing03@biogot.com

服务:biorase01@biogot.com

合作:lvyun@biogot.com

支持:may@biogot.com

UGDH polyclonal antibody

货号: BS75373
价格 1140
货期 现货(1-2个工作日)
25ul 50ul 100ul 200ul
No. :BS75373
Product Name :UGDH polyclonal antibody
Swiss-Prot :O60701
Host :Rabbit
Reactivity :Human, Mouse, Rat
Applications :IHC
Application_all :IHC,1:50 - 1:200
Background :The protein encoded by this gene converts UDP-glucose to UDP-glucuronate and thereby participates in the biosynthesis of glycosaminoglycans such as hyaluronan, chondroitin sulfate, and heparan sulfate. These glycosylated compounds are common components of the extracellular matrix and likely play roles in signal transduction, cell migration, and cancer growth and metastasis. The expression of this gene is up-regulated by transforming growth factor beta and down-regulated by hypoxia. Alternative splicing results in multiple transcript variants.
Product :1mg/ml in PBS with 0.02% sodium azide, 50% glycerol, pH7.2
Purification&Purity :The antibody was affinity-purified from rabbit antiserum by affinity-chromatography using epitope-specific immunogen and the purity is > 95% (by SDS-PAGE).
Storage&Stability :Store at 4°C short term. Aliquot and store at -20°C long term. Avoid freeze-thaw cycles.
Specificity :Unmodification
Note :For research use only, not for use in diagnostic procedure.
Alternative Name :UGDH;GDH;UDP-GlcDH;UDPGDH;UGD
Immunogen :Recombinant fusion protein of human UGDH(NP_003350.1).
Conjugate :Unconjugated
Modification :Unmodification
Immunohistochemistry of paraffin-embedded rat liver using UGDH antibody at dilution of 1:100 .Perform microwave antigen retrieval with 10 mM PBS buffer pH 7.2 before commencing with IHC staining protocol.
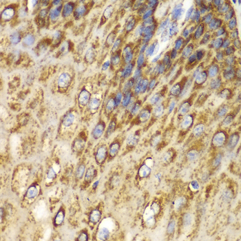
Immunohistochemistry of paraffin-embedded human esophagus using UGDH antibody at dilution of 1:100 .Perform microwave antigen retrieval with 10 mM PBS buffer pH 7.2 before commencing with IHC staining protocol.
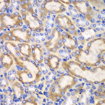
Immunohistochemistry of paraffin-embedded mouse kidney using UGDH antibody at dilution of 1:100 .Perform microwave antigen retrieval with 10 mM PBS buffer pH 7.2 before commencing with IHC staining protocol.

关注我们

400-660-9091

电话:025-68037686

地址:江苏生命科技创新园F6幢1层

订购:nanjing03@biogot.com

服务:biorase01@biogot.com

合作:lvyun@biogot.com

支持:may@biogot.com