中国 EN 400-660-9091

联系我们

电话:025-68037686

地址:江苏生命科技创新园F6幢1层

订购:nanjing03@biogot.com

服务:biorase01@biogot.com

合作:lvyun@biogot.com

支持:may@biogot.com

DR1 polyclonal antibody

货号: BS75285
价格 1140
货期 现货(1-2个工作日)
25ul 50ul 100ul 200ul
No. :BS75285
Product Name :DR1 polyclonal antibody
Swiss-Prot :Q01658
Host :Rabbit
Reactivity :Human, Mouse
Applications :WB, IHC, IF/ICC
Application_all :WB,1:500 - 1:2000|IHC,1:50 - 1:200|IF/ICC,1:50 - 1:200
Background :This gene encodes a TBP- (TATA box-binding protein) associated phosphoprotein that represses both basal and activated levels of transcription. The encoded protein is phosphorylated in vivo and this phosphorylation affects its interaction with TBP. This protein contains a histone fold motif at the amino terminus, a TBP-binding domain, and a glutamine- and alanine-rich region. The binding of DR1 repressor complexes to TBP-promoter complexes may establish a mechanism in which an altered DNA conformation, together with the formation of higher order complexes, inhibits the assembly of the preinitiation complex and controls the rate of RNA polymerase II transcription.
Product :1mg/ml in PBS with 0.02% sodium azide, 50% glycerol, pH7.2
Purification&Purity :The antibody was affinity-purified from rabbit antiserum by affinity-chromatography using epitope-specific immunogen and the purity is > 95% (by SDS-PAGE).
Storage&Stability :Store at 4°C short term. Aliquot and store at -20°C long term. Avoid freeze-thaw cycles.
Specificity :Unmodification
BiowMW :19kDa
Note :For research use only, not for use in diagnostic procedure.
Alternative Name :DR1;NC2;NC2-BETA;NC2B;NCB2
Immunogen :Recombinant fusion protein of human DR1(NP_001929.1).
Conjugate :Unconjugated
Modification :Unmodification
Western blot analysis of extracts of mouse spleen, using DR1 antibody at 1:1000 dilution.
Secondary antibody: HRP Goat Anti-Rabbit IgG at 1:10000 dilution.
Lysates/proteins: 25ug per lane.
Blocking buffer: 3% nonfat dry milk in TBST.
Detection: ECL Basic Kit .
Exposure time: 90s.
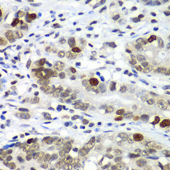
Immunohistochemistry of paraffin-embedded human gastric cancer using DR1 antibody at dilution of 1:100 .Perform microwave antigen retrieval with 10 mM PBS buffer pH 7.2 before commencing with IHC staining protocol.
Immunofluorescence analysis of MCF7 cells using DR1 antibody .

关注我们

400-660-9091

电话:025-68037686

地址:江苏生命科技创新园F6幢1层

订购:nanjing03@biogot.com

服务:biorase01@biogot.com

合作:lvyun@biogot.com

支持:may@biogot.com