中国 EN 400-660-9091

联系我们

电话:025-68037686

地址:江苏生命科技创新园F6幢1层

订购:nanjing03@biogot.com

服务:biorase01@biogot.com

合作:lvyun@biogot.com

支持:may@biogot.com

DNAJB11 polyclonal antibody

货号: BS75086
价格 1140
货期 现货(1-2个工作日)
25ul 50ul 100ul 200ul
No. :BS75086
Product Name :DNAJB11 polyclonal antibody
Swiss-Prot :Q9UBS4
Host :Rabbit
Reactivity :Human, Mouse, Rat
Applications :WB, IHC
Application_all :WB,1:500 - 1:2000|IHC,1:50 - 1:200
Background :This gene encodes a soluble glycoprotein of the endoplasmic reticulum (ER) lumen that functions as a co-chaperone of binding immunoglobulin protein, a 70 kilodalton heat shock protein chaperone required for the proper folding and assembly of proteins in the ER. The encoded protein contains a highly conserved J domain of about 70 amino acids with a characteristic His-Pro-Asp (HPD) motif and may regulate the activity of binding immunoglobulin protein by stimulating ATPase activity.
Product :1mg/ml in PBS with 0.02% sodium azide, 50% glycerol, pH7.2
Purification&Purity :The antibody was affinity-purified from rabbit antiserum by affinity-chromatography using epitope-specific immunogen and the purity is > 95% (by SDS-PAGE).
Storage&Stability :Store at 4°C short term. Aliquot and store at -20°C long term. Avoid freeze-thaw cycles.
Specificity :Unmodification
BiowMW :40kDa
Note :For research use only, not for use in diagnostic procedure.
Alternative Name :DNAJB11;ABBP-2;ABBP2;DJ9;Dj-9;EDJ;ERdj3;ERj3;ERj3p;PRO1080;UNQ537
Immunogen :Recombinant fusion protein of human DNAJB11(NP_057390.1).
Conjugate :Unconjugated
Modification :Unmodification
Western blot analysis of extracts of various cell lines, using DNAJB11 antibody at 1:3000 dilution.
Secondary antibody: HRP Goat Anti-Rabbit IgG at 1:10000 dilution.
Lysates/proteins: 25ug per lane.
Blocking buffer: 3% nonfat dry milk in TBST.
Detection: ECL Basic Kit .
Exposure time: 90s.
Immunohistochemistry of paraffin-embedded rat testis using DNAJB11 antibody at dilution of 1:100 .Perform microwave antigen retrieval with 10 mM PBS buffer pH 7.2 before commencing with IHC staining protocol.
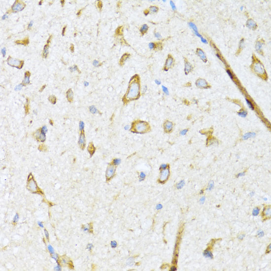
Immunohistochemistry of paraffin-embedded rat brain using DNAJB11 antibody at dilution of 1:100 .Perform microwave antigen retrieval with 10 mM PBS buffer pH 7.2 before commencing with IHC staining protocol.
Immunohistochemistry of paraffin-embedded mouse spinal cord using DNAJB11 antibody at dilution of 1:100 .Perform microwave antigen retrieval with 10 mM PBS buffer pH 7.2 before commencing with IHC staining protocol.

关注我们

400-660-9091

电话:025-68037686

地址:江苏生命科技创新园F6幢1层

订购:nanjing03@biogot.com

服务:biorase01@biogot.com

合作:lvyun@biogot.com

支持:may@biogot.com