中国 EN 400-660-9091

联系我们

电话:025-68037686

地址:江苏生命科技创新园F6幢1层

订购:nanjing03@biogot.com

服务:biorase01@biogot.com

合作:lvyun@biogot.com

支持:may@biogot.com

LTF polyclonal antibody

货号: BS75079
价格 1140
货期 现货(1-2个工作日)
25ul 50ul 100ul 200ul
No. :BS75079
Product Name :LTF polyclonal antibody
Swiss-Prot :P02788
Host :Rabbit
Reactivity :Human, Mouse, Rat
Applications :WB, IHC
Application_all :WB,1:500 - 1:2000|IHC,1:100 - 1:200
Background :This gene is a member of the transferrin family of genes and its protein product is found in the secondary granules of neutrophils. The protein is a major iron-binding protein in milk and body secretions with an antimicrobial activity, making it an important component of the non-specific immune system. The protein demonstrates a broad spectrum of properties, including regulation of iron homeostasis, host defense against a broad range of microbial infections, anti-inflammatory activity, regulation of cellular growth and differentiation and protection against cancer development and metastasis. Antimicrobial, antiviral, antifungal and antiparasitic activity has been found for this protein and its peptides. Alternatively spliced transcript variants encoding different isoforms have been found for this gene.
Product :1mg/ml in PBS with 0.02% sodium azide, 50% glycerol, pH7.2
Purification&Purity :The antibody was affinity-purified from rabbit antiserum by affinity-chromatography using epitope-specific immunogen and the purity is > 95% (by SDS-PAGE).
Storage&Stability :Store at 4°C short term. Aliquot and store at -20°C long term. Avoid freeze-thaw cycles.
Specificity :Unmodification
BiowMW :78kDa
Note :For research use only, not for use in diagnostic procedure.
Alternative Name :LTF;GIG12;HEL110;HLF2;LF
Immunogen :Recombinant fusion protein of human LTF(NP_002334.2).
Conjugate :Unconjugated
Modification :Unmodification
Western blot analysis of extracts of various cell lines, using LTF antibody at 1:3000 dilution.
Secondary antibody: HRP Goat Anti-Rabbit IgG at 1:10000 dilution.
Lysates/proteins: 25ug per lane.
Blocking buffer: 3% nonfat dry milk in TBST.
Detection: ECL Basic Kit .
Exposure time: 60s.
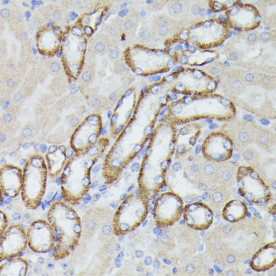
Immunohistochemistry of paraffin-embedded rat kidney using LTF antibody at dilution of 1:100 .Perform microwave antigen retrieval with 10 mM PBS buffer pH 7.2 before commencing with IHC staining protocol.
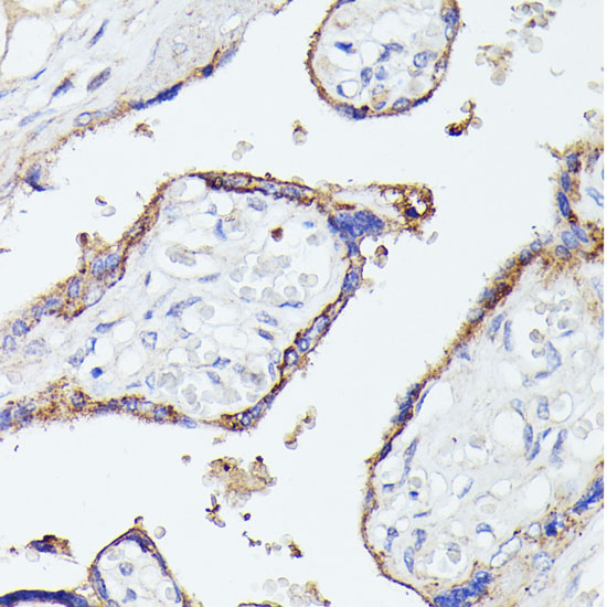
Immunohistochemistry of paraffin-embedded human placenta using LTF antibody at dilution of 1:100 .Perform microwave antigen retrieval with 10 mM PBS buffer pH 7.2 before commencing with IHC staining protocol.
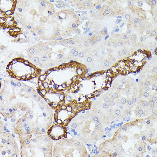
Immunohistochemistry of paraffin-embedded mouse kidney using LTF antibody at dilution of 1:100 .Perform microwave antigen retrieval with 10 mM PBS buffer pH 7.2 before commencing with IHC staining protocol.

关注我们

400-660-9091

电话:025-68037686

地址:江苏生命科技创新园F6幢1层

订购:nanjing03@biogot.com

服务:biorase01@biogot.com

合作:lvyun@biogot.com

支持:may@biogot.com