中国 EN 400-660-9091

联系我们

电话:025-68037686

地址:江苏生命科技创新园F6幢1层

订购:nanjing03@biogot.com

服务:biorase01@biogot.com

合作:lvyun@biogot.com

支持:may@biogot.com

CEMIP polyclonal antibody

货号: BS71849
价格 1140
货期 现货(1-2个工作日)
25ul 50ul 100ul 200ul
No. :BS71849
Product Name :CEMIP polyclonal antibody
Swiss-Prot :Q8WUJ3
Host :Rabbit
Reactivity :Human,Mouse
Applications :WB IHC
Application_all :WB 1:50 - 1:1000 IHC 1:50 - 1:200
Background :CEMIP (cell migration inducing protein, hyaluronan binding) is a protein-coding gene. Diseases associated with CEMIP include colon cancer. An important paralog of this gene is PKHD1L1.
Product :Rabbit IgG, 1mg/ml in PBS with 0.02% sodium azide, 50% glycerol, pH7.2
Purification&Purity :The antibody was affinity-purified from rabbit antiserum by affinity-chromatography using epitope-specific immunogen and the purity is > 95% (by SDS-PAGE).
Storage&Stability :Store at 4°C short term. Aliquot and store at -20°C long term. Avoid freeze-thaw cycles.
Specificity :CEMIP polyclonal antibody detects endogenous levels of CEMIP protein.
BiowMW :180kDa
Note :For research use only, not for use in diagnostic procedure.
Alternative Name :CCSP1; HYBID; KIAA1199; TMEM2L
Immunogen :Recombinant protein of human CEMIP
Conjugate :Unconjugated
Modification :Unmodification
Western blot analysis of extracts of various cell lines, using CEMIP antibody at 1:3000 dilution.
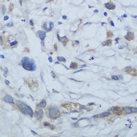
Immunohistochemical analysis of p16 INK4a staining in human colorectal cancer formalin fixed paraffin embedded tissue section.
  • Microglia increase CEMIP expression and promote brain metastasis in breast cancer through the JAK2/STAT3 signaling pathway
    JournalOncologie
    ApplicationIHC,WB
    IF0.9
    SpeciesHuman
    PMID

关注我们

400-660-9091

电话:18013895086

地址:江苏生命科技创新园F6幢1层

订购:nanjing03@biogot.com

服务:biorase01@biogot.com

合作:lvyun@biogot.com

支持:may@biogot.com