中国 EN 400-660-9091

联系我们

电话:025-68037686

地址:江苏生命科技创新园F6幢1层

订购:nanjing03@biogot.com

服务:biorase01@biogot.com

合作:lvyun@biogot.com

支持:may@biogot.com

MYH9 polyclonal antibody

货号: BS70320
价格 1140
货期 现货(1-2个工作日)
25ul 50ul 100ul 200ul
No. :BS70320
Product Name :MYH9 polyclonal antibody
Swiss-Prot :P35579
Host :Rabbit
Reactivity :Human, Mouse, Rat
Applications :WB, IHC, IP
Application_all :WB,1:1000 - 1:2000|IHC,1:50 - 1:100|IP,1:50 - 1:200
Background :This gene encodes a conventional non-muscle myosin; this protein should not be confused with the unconventional myosin-9a or 9b (MYO9A or MYO9B). The encoded protein is a myosin IIA heavy chain that contains an IQ domain and a myosin head-like domain which is involved in several important functions, including cytokinesis, cell motility and maintenance of cell shape. Defects in this gene have been associated with non-syndromic sensorineural deafness autosomal dominant type 17, Epstein syndrome, Alport syndrome with macrothrombocytopenia, Sebastian syndrome, Fechtner syndrome and macrothrombocytopenia with progressive sensorineural deafness.
Product :1mg/ml in PBS with 0.02% sodium azide, 50% glycerol, pH7.2
Purification&Purity :The antibody was affinity-purified from rabbit antiserum by affinity-chromatography using epitope-specific immunogen and the purity is > 95% (by SDS-PAGE).
Storage&Stability :Store at 4°C short term. Aliquot and store at -20°C long term. Avoid freeze-thaw cycles.
Specificity :Polyclonal Antibodies
BiowMW :250kDa
Note :For research use only, not for use in diagnostic procedure.
Alternative Name :MYH9;BDPLT6;DFNA17;EPSTS;FTNS;MHA;NMHC-II-A;NMMHC-IIA;NMMHCA;myosin-9
Immunogen :Recombinant fusion protein of human MYH9(NP_002464.1).
Conjugate :Unconjugated
Modification :Unmodification
Western blot analysis of extracts of various cell lines, using MYH9 antibody at 1:1000 dilution.
Secondary antibody: HRP Goat Anti-Rabbit IgG at 1:10000 dilution.
Lysates/proteins: 25ug per lane.
Blocking buffer: 3% nonfat dry milk in TBST.
Detection: ECL Basic Kit .
Exposure time: 15s.
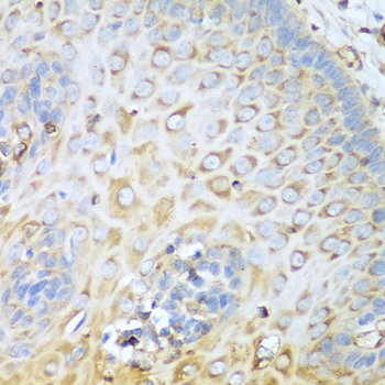
Immunohistochemistry of paraffin-embedded human esophagus using MYH9 antibody at dilution of 1:100 .Perform microwave antigen retrieval with 10 mM PBS buffer pH 7.2 before commencing with IHC staining protocol.
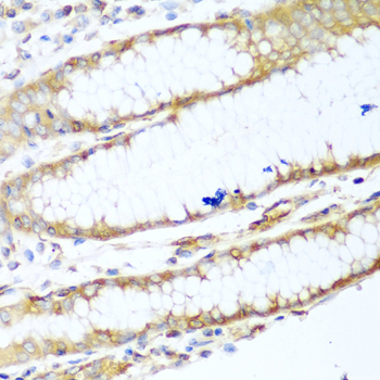
Immunohistochemistry of paraffin-embedded human stomach using MYH9 antibody at dilution of 1:100 .Perform microwave antigen retrieval with 10 mM PBS buffer pH 7.2 before commencing with IHC staining protocol.
Immunoprecipitation analysis of 300ug extracts of HeLa cells using 3ug MYH9 antibody . Western blot was performed from the immunoprecipitate using MYH9 antibody at a dilution of 1:1000.

关注我们

400-660-9091

电话:025-68037686

地址:江苏生命科技创新园F6幢1层

订购:nanjing03@biogot.com

服务:biorase01@biogot.com

合作:lvyun@biogot.com

支持:may@biogot.com