中国 EN 400-660-9091

联系我们

电话:025-68037686

地址:江苏生命科技创新园F6幢1层

订购:nanjing03@biogot.com

服务:biorase01@biogot.com

合作:lvyun@biogot.com

支持:may@biogot.com

DAP12 polyclonal antibody

货号: BS66171
价格 1140
货期 现货(1-2个工作日)
25ul 50ul 100ul 200ul
No. :BS66171
Product Name :DAP12 polyclonal antibody
Swiss-Prot :O43914
Host :Rabbit
Reactivity :Human
Applications :WB IHC
Application_all :WB: 1:500~1:1000 IHC: 1:50~1:200
Background :DNAX-activating protein 12 (DAP12, TYROBP) is a signaling adaptor for several pathogen receptors expressed by cells of the innate immune system. The DAP12 protein structure consists of a short extracellular domain, a transmembrane domain, and a cytoplasmic immunoreceptor tyrosine-based activation motif (ITAM). DAP12 protein is expressed by hematopoietic cells, including NK cells, monocytes, macrophages, dendritic cells, mast cells, basophils, eosinophils, neutrophils, and some γδ T cells and NKT cells. DAP12 exists as a homodimer that associates with a variety of receptors involved in pathogen detection, including the KIR family of NK cell receptors. Ligand binding by DAP12-associated receptors results in phosphorylation of tyrosine residues within the DAP12 ITAM by Src family kinases and leads to activation of Syk or Zap-70 and downstream signaling responses.
Product :Rabbit IgG, 1mg/ml in PBS with 0.02% sodium azide, 50% glycerol, pH7.2
Purification&Purity :The antibody was affinity-purified from rabbit antiserum by affinity-chromatography using epitope-specific immunogen and the purity is > 95% (by SDS-PAGE).
Storage&Stability :Store at 4°C short term. Aliquot and store at -20°C long term. Avoid freeze-thaw cycles.
Specificity :DAP12 polyclonal antibody detects endogenous levels of DAP12 protein.
BiowMW :~ 16 kDa
Note :For research use only, not for use in diagnostic procedure.
Alternative Name :DAP12; KARAP; TYRO protein tyrosine kinase-binding protein; DNAX-activation protein 12; Killer-activating receptor-associated protein; KAR-associated protein
Immunogen :Synthetic peptide, corresponding to Human DAP12.
Conjugate :Unconjugated
Modification :Unmodified
Western blot analysis of TYROBP expression in HepG2 (A) whole cell lysates.
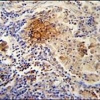
Immunohistochemical analysis of TYROBP staining in human lung carcinoma formalin fixed paraffin embedded tissue section.
  • TREM1/DAP12 based novel multiple chain CAR-T cells targeting DLL3 show robust anti-tumour efficacy for small cell lung cancer
    JournalIMMUNOLOGY
    ApplicationWB
    IF6.4
    SpeciesHuman

关注我们

400-660-9091

电话:025-68037686

地址:江苏生命科技创新园F6幢1层

订购:nanjing03@biogot.com

服务:biorase01@biogot.com

合作:lvyun@biogot.com

支持:may@biogot.com