中国 EN 400-660-9091

联系我们

电话:025-68037686

地址:江苏生命科技创新园F6幢1层

订购:nanjing03@biogot.com

服务:biorase01@biogot.com

合作:lvyun@biogot.com

支持:may@biogot.com

[KO Validated] ERK1 polyclonal antibody

货号: BS6464
价格 1140
货期 现货(1-2个工作日)
25ul 50ul 100ul 200ul
No. :BS6464
Product Name :[KO Validated] ERK1 polyclonal antibody
Swiss-Prot :P27361
Host :Rabbit
Reactivity :Human, Mouse, Rat
Applications :WB, IHC, IF/ICC
Application_all :WB,1:500 - 1:2000|IHC,1:50 - 1:200|IF/ICC,1:50 - 1:200
Background :The protein encoded by this gene is a member of the MAP kinase family. MAP kinases, also known as extracellular signal-regulated kinases (ERKs), act in a signaling cascade that regulates various cellular processes such as proliferation, differentiation, and cell cycle progression in response to a variety of extracellular signals. This kinase is activated by upstream kinases, resulting in its translocation to the nucleus where it phosphorylates nuclear targets. Alternatively spliced transcript variants encoding different protein isoforms have been described.
Product :1mg/ml in PBS with 0.02% sodium azide, 50% glycerol, pH7.2
Purification&Purity :The antibody was affinity-purified from rabbit antiserum by affinity-chromatography using epitope-specific immunogen and the purity is > 95% (by SDS-PAGE).
Storage&Stability :Store at 4°C short term. Aliquot and store at -20°C long term. Avoid freeze-thaw cycles.
Specificity :Polyclonal Antibodies
BiowMW :40kDa
Note :For research use only, not for use in diagnostic procedure.
Alternative Name :ERK-1;ERK1;ERT2;HS44KDAP;HUMKER1A;P44ERK1;P44MAPK;PRKM3;p44-ERK1;p44-MAPK;MAPK3
Immunogen :Recombinant fusion protein of human ERK1(NP_002737.2).
Conjugate :Unconjugated
Modification :Unmodification
Western blot analysis of extracts of various cell lines, using ERK1 antibody at 1:1000 dilution.
Secondary antibody: HRP Goat Anti-Rabbit IgG at 1:10000 dilution.
Lysates/proteins: 25ug per lane.
Blocking buffer: 3% nonfat dry milk in TBST.
Western blot analysis of extracts from normal and ERK1 Rabbit pAb knockout 293T cells, using ERK1 Rabbit pAb antibody at 1:1000 dilution.
Secondary antibody: HRP Goat Anti-Rabbit IgG at 1:10000 dilution.
Lysates/proteins: 25ug per lane.
Blocking buffer: 3% nonfat dry milk in TBST.
Detection: ECL Basic Kit .
Exposure time: 10s.
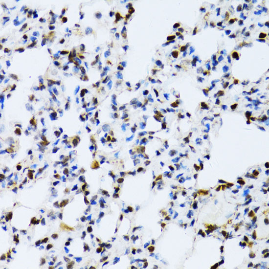
Immunohistochemistry of paraffin-embedded rat lung using ERK1 Antibody at dilution of 1:100 .Perform microwave antigen retrieval with 10 mM PBS buffer pH 7.2 before commencing with IHC staining protocol.
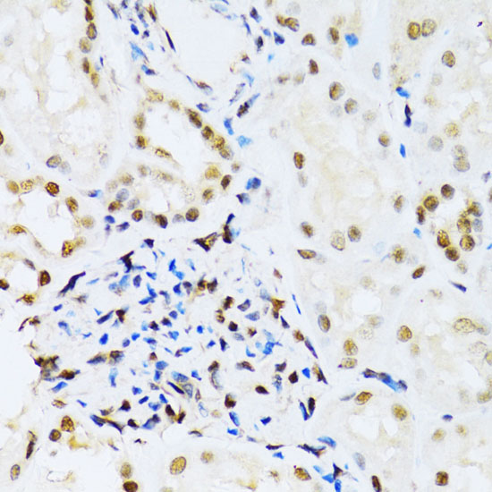
Immunohistochemistry of paraffin-embedded human kidney using ERK1 Antibody at dilution of 1:100 .Perform microwave antigen retrieval with 10 mM PBS buffer pH 7.2 before commencing with IHC staining protocol.
  • Exposure to bisphenol A (BPA) in Wistar rats reduces sperm quality with disruption of ERK signal pathway
    JournalToxicology Mechanisms And Methods
    ApplicationWB
    IF2.276
    SpeciesRat

关注我们

400-660-9091

电话:025-68037686

地址:江苏生命科技创新园F6幢1层

订购:nanjing03@biogot.com

服务:biorase01@biogot.com

合作:lvyun@biogot.com

支持:may@biogot.com