中国 EN 400-660-9091

联系我们

电话:025-68037686

地址:江苏生命科技创新园F6幢1层

订购:nanjing03@biogot.com

服务:biorase01@biogot.com

合作:lvyun@biogot.com

支持:may@biogot.com

FGF2 polyclonal antibody

货号: BS6432
价格 1140
货期 现货(1-2个工作日)
25ul 50ul 100ul 200ul
No. :BS6432
Product Name :FGF2 polyclonal antibody
Swiss-Prot :P09038
Host :Rabbit
Reactivity :Human, Mouse, Rat
Applications :WB, IHC, IF/ICC
Application_all :WB,1:500 - 1:2000|IHC,1:50 - 1:200|IF/ICC,1:50 - 1:200
Background :The protein encoded by this gene is a member of the fibroblast growth factor (FGF) family. FGF family members bind heparin and possess broad mitogenic and angiogenic activities. This protein has been implicated in diverse biological processes, such as limb and nervous system development, wound healing, and tumor growth. The mRNA for this gene contains multiple polyadenylation sites, and is alternatively translated from non-AUG (CUG) and AUG initiation codons, resulting in five different isoforms with distinct properties. The CUG-initiated isoforms are localized in the nucleus and are responsible for the intracrine effect, whereas, the AUG-initiated form is mostly cytosolic and is responsible for the paracrine and autocrine effects of this FGF.
Product :1mg/ml in PBS with 0.02% sodium azide, 50% glycerol, pH7.2
Purification&Purity :The antibody was affinity-purified from rabbit antiserum by affinity-chromatography using epitope-specific immunogen and the purity is > 95% (by SDS-PAGE).
Storage&Stability :Store at 4°C short term. Aliquot and store at -20°C long term. Avoid freeze-thaw cycles.
Specificity :Polyclonal Antibodies
BiowMW :26KDa
Note :For research use only, not for use in diagnostic procedure.
Alternative Name :BFGF;FGF-2;FGFB;HBGF-2;Basic FGF;FGF2
Immunogen :Recombinant fusion protein of human FGF2(NP_001997.5).
Conjugate :Unconjugated
Modification :Unmodification
Western blot analysis of extracts of 293T cells, using FGF2 antibody at 1:1000 dilution.
Secondary antibody: HRP Goat Anti-Rabbit IgG at 1:10000 dilution.
Lysates/proteins: 25ug per lane.
Blocking buffer: 3% nonfat dry milk in TBST.
Detection: ECL Enhanced Kit .
Exposure time: 180s.
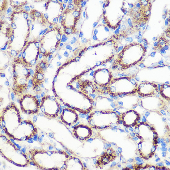
Immunohistochemistry of paraffin-embedded Mouse kidney using FGF2 Rabbit pAb at dilution of 1:100 .Perform microwave antigen retrieval with 10 mM PBS buffer pH 7.2 before commencing with IHC staining protocol.
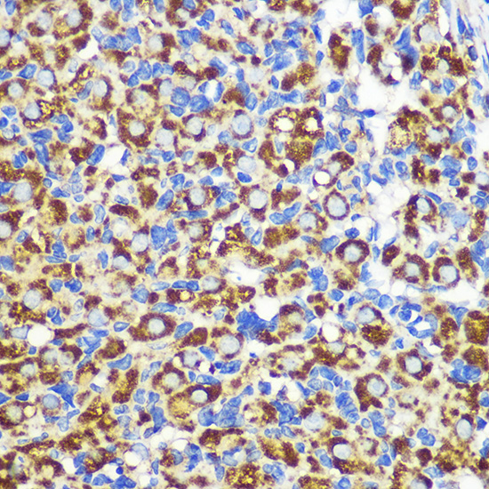
Immunohistochemistry of paraffin-embedded Rat ovary using FGF2 Rabbit pAb at dilution of 1:100 .Perform microwave antigen retrieval with 10 mM PBS buffer pH 7.2 before commencing with IHC staining protocol.
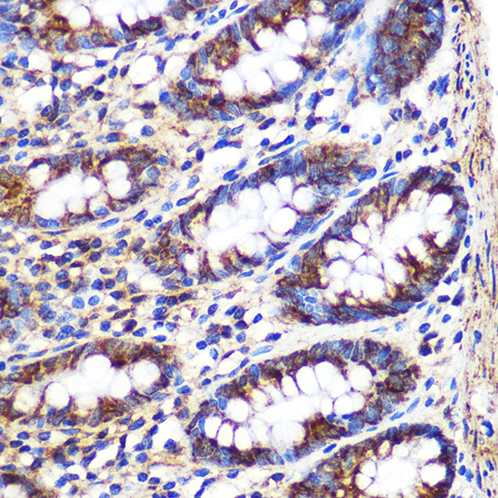
Immunohistochemistry of paraffin-embedded Human colon using FGF2 Rabbit pAb at dilution of 1:100 .Perform microwave antigen retrieval with 10 mM PBS buffer pH 7.2 before commencing with IHC staining protocol.
  • Oridonin inhibits tumor angiogenesis and induces vessel normalization in experimental colon cancer
    JournalJournal of Cancer
    ApplicationWB
    IF4.207
    SpeciesMouse
  • Functional improvement of collagen-based bioscaffold to enhance periodontal-defect healing via combination with dietary antioxidant and COMP-angiopoietin 1
    JournalMaterials Science & Engineering C-Materials for Biological Applications
    ApplicationIHC
    IF7.328
    SpeciesRat
    PMID
  • n-acetyl-l-cysteine stimulates bone healing by recovering the age-associated degenerative complications relative to osteoblastic Wntless ablation
    Journal10.1016/j.biopha.2024.117761
    ApplicationIHC
    IF6.9
    SpeciesMouse
  • Modified bFGF targeting connective tissue growth factor in the injured microenvironment improved cardiac repair after chronic myocardial ischemia
    JournalRegenerative Therapy
    ApplicationWB
    IF3.4
    SpeciesRat

关注我们

400-660-9091

电话:025-68037686

地址:江苏生命科技创新园F6幢1层

订购:nanjing03@biogot.com

服务:biorase01@biogot.com

合作:lvyun@biogot.com

支持:may@biogot.com