中国 EN 400-660-9091

联系我们

电话:025-68037686

地址:江苏生命科技创新园F6幢1层

订购:nanjing03@biogot.com

服务:biorase01@biogot.com

合作:lvyun@biogot.com

支持:may@biogot.com

BRCA1 polyclonal antibody

货号: BS6423
价格 1140
货期 现货(1-2个工作日)
25ul 50ul 100ul 200ul
No. :BS6423
Product Name :BRCA1 polyclonal antibody
Swiss-Prot :P38398
Host :Rabbit
Reactivity :Human
Applications :IHC
Application_all :IHC,1:50 - 1:200
Background :This gene encodes a nuclear phosphoprotein that plays a role in maintaining genomic stability, and it also acts as a tumor suppressor. The encoded protein combines with other tumor suppressors, DNA damage sensors, and signal transducers to form a large multi-subunit protein complex known as the BRCA1-associated genome surveillance complex (BASC). This gene product associates with RNA polymerase II, and through the C-terminal domain, also interacts with histone deacetylase complexes. This protein thus plays a role in transcription, DNA repair of double-stranded breaks, and recombination. Mutations in this gene are responsible for approximately 40% of inherited breast cancers and more than 80% of inherited breast and ovarian cancers. Alternative splicing plays a role in modulating the subcellular localization and physiological function of this gene. Many alternatively spliced transcript variants, some of which are disease-associated mutations, have been described for this gene, but the full-length natures of only some of these variants has been described. A related pseudogene, which is also located on chromosome 17, has been identified.
Product :1mg/ml in PBS with 0.02% sodium azide, 50% glycerol, pH7.2
Purification&Purity :The antibody was affinity-purified from rabbit antiserum by affinity-chromatography using epitope-specific immunogen and the purity is > 95% (by SDS-PAGE).
Storage&Stability :Store at 4°C short term. Aliquot and store at -20°C long term. Avoid freeze-thaw cycles.
Specificity :Polyclonal Antibodies
BiowMW :Refer to figures
Note :For research use only, not for use in diagnostic procedure.
Alternative Name :BRCA1;BRCAI;BRCC1;BROVCA1;FANCS;IRIS;PNCA4;PPP1R53;PSCP;RNF53
Immunogen :Recombinant fusion protein of human BRCA1(NP_009225.1).
Conjugate :Unconjugated
Modification :Unmodification
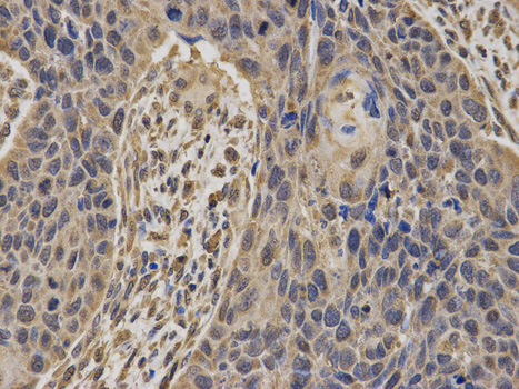
Immunohistochemistry of paraffin-embedded human breast cancer using BRCA1 antibody at dilution of 1:100 .Perform microwave antigen retrieval with 10 mM PBS buffer pH 7.2 before commencing with IHC staining protocol.
  • ATM–ESCO2–SMC3 axis promotes 53BP1 recruitment in response to DNA damage and safeguards genome integrity by stabilizing cohesin complex
    JournalNUCLEIC ACIDS RESEARCH
    ApplicationIF
    IF14.9
    SpeciesHuman

关注我们

400-660-9091

电话:025-68037686

地址:江苏生命科技创新园F6幢1层

订购:nanjing03@biogot.com

服务:biorase01@biogot.com

合作:lvyun@biogot.com

支持:may@biogot.com